找回密码
 注册

多睾症

作者:大江 | 时间:2025-12-24 19:54:20 | 阅读:67| 显示全部楼层
就诊原因

不育症

患者资料

年龄:45岁

性别:男

超声检查
1.jpg
2.jpg
3.jpg
4.jpg
5.jpg
6.jpg
7.jpg
8.jpg
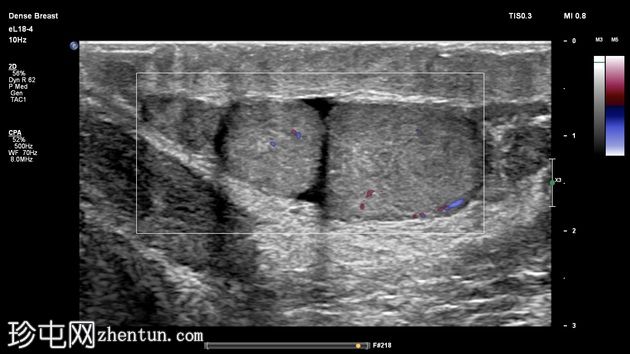
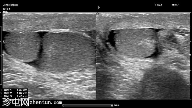
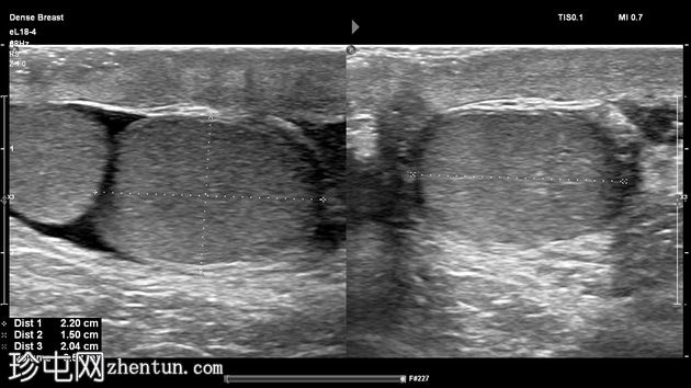
左侧阴囊内可见两个相邻但彼此分离的小睾丸,头侧体积分别为1毫升和3.5毫升,共用一个附睾。

两个睾丸回声和血流均正常,内部未见病变,但患侧可见少量鞘膜积液。

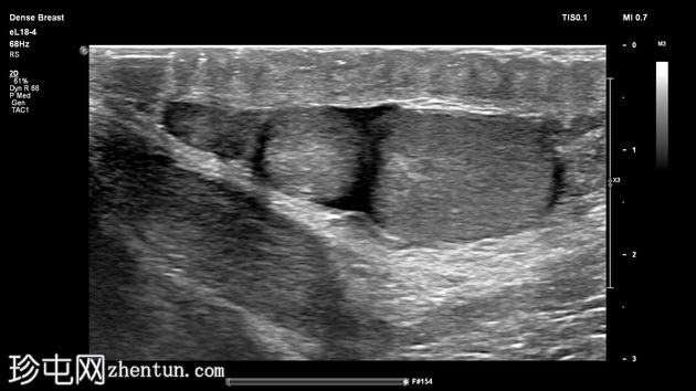
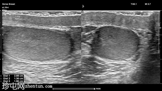
右侧睾丸大小、回声和血流均正常,内部未见病变,体积为4毫升。其附睾正常,未见鞘膜积液。

仰卧位静息状态和站立进行Valsalva动作时,蔓状静脉丛直径均保持在1.9毫米以内,因此排除精索静脉曲张。

病例讨论

虽然多睾症通常无症状,但阴囊积液、精索静脉曲张、附睾炎或睾丸恶性肿瘤引起的疼痛和阴囊肿胀可能有助于诊断。

多睾症常伴有腹股沟疝、隐睾和睾丸微石症。

如果在睾丸上发现一个具有典型睾丸回声纹理的结节状区域,使其呈现分叶状外观,则称为双叶睾丸,不应误诊为恶性肿瘤。

多睾症和双叶睾丸最常见的并发症是睾丸扭转。
您需要登录后才可以回帖 登录 | 注册
Copyright © 2011-2026 东莞市珍屯医疗科技有限公司Powered by zhentun.com
返回顶部