找回密码
 注册

气肿性膀胱炎

作者:大江 | 时间:2025-12-24 19:56:58 | 阅读:78| 显示全部楼层
影像资料

未提供。

患者资料

年龄:50岁

性别:女

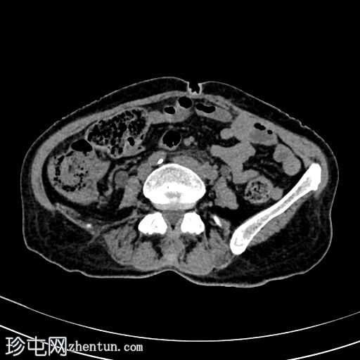
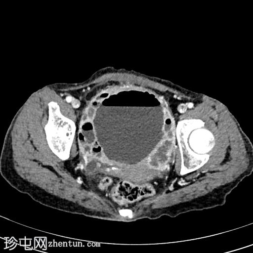
CT
轴位
非增强
1.jpg
轴位增强(门静脉期)
2.jpg
轴位增强(延迟期)
3.jpg
冠状位增强(门静脉期)
4.jpg
可见膀胱壁不规则弥漫性明显增厚,伴壁内气体,符合气肿性膀胱炎的影像学表现。

可见双侧膀胱输尿管连接处闭塞,导致双侧肾盂输尿管积水。

右肾中度肾积水,肾实质厚度正常;左肾重度肾积水,肾实质厚度减少。

病例讨论

气肿性膀胱炎是一种不常见的膀胱感染,可由细菌或真菌引起。潜在并发症包括:

感染扩散至输尿管和肾实质

膀胱破裂,可能导致败血症和腹膜炎

该患者存在双侧输尿管肾积水;然而,输尿管壁未见异常增厚,输尿管或肾集合系统内也未见气体灶(CT未检测到输尿管和肾实质感染的证据)。

无随访信息。
您需要登录后才可以回帖 登录 | 注册
Copyright © 2011-2026 东莞市珍屯医疗科技有限公司Powered by zhentun.com
返回顶部