找回密码
 注册

移植肾气肿性肾盂肾炎

作者:大江 | 时间:2025-12-24 20:00:39 | 阅读:78| 显示全部楼层
病情介绍

患者有肾移植史。入院时病情危重

患者资料

年龄:35岁

性别:男

CT
轴位
平扫
1.jpg
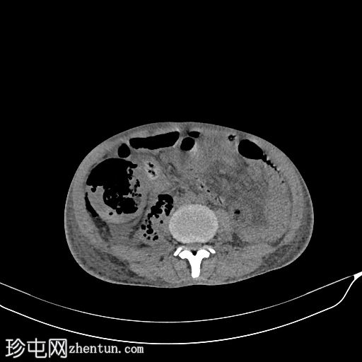
轴位增强扫描(门静脉期)
2.jpg
冠状位增强扫描(门静脉期)
3.jpg
双侧原肾体积较小。

移植肾位于右髂窝,增大(15 cm),肾实质被异常气体和非强化物质(坏死组织/液体)所取代,提示重度气肿性肾盂肾炎,肾实质破坏超过95%。

仅有少量肾实质强化(不足5%)。

移植肾动脉通畅。

移植肾静脉未见。

右侧腹膜后间隙及右侧腰大肌内可见中等量液体和气体,自肝下区延伸。

中度盆腔腹水。

膀胱萎陷。

弥漫性骨密度增高(?肾性骨营养不良的特征)。

病例讨论

气肿性肾盂肾炎是一种严重的坏死性感染,其特征是肾脏内或周围形成气体。如果未能及时识别和治疗,可进展为暴发性脓毒症,且死亡率极高。

移植肾发生气肿性肾盂肾炎(EPN)是一种罕见但严重的疾病,通常危及生命。危险因素包括糖尿病和由结石、肿瘤和狭窄引起的泌尿道梗阻。

无随访信息。
您需要登录后才可以回帖 登录 | 注册
Copyright © 2011-2026 东莞市珍屯医疗科技有限公司Powered by zhentun.com
返回顶部