找回密码
 注册

阴茎鳞状细胞癌

作者:大江 | 时间:2025-12-24 20:10:16 | 阅读:74| 显示全部楼层
临床表现

患者数月来出现阴茎硬性肿胀。

患者资料

年龄:70岁

性别:男

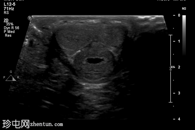
超声检查
1.jpg
阴茎远端可见异常环周增厚,龟头可见边界不清的低回声病灶。

远端尿道轻度扩张。

左侧腹股沟淋巴结异常,皮质增厚,淋巴门消失。

MRI
1.png
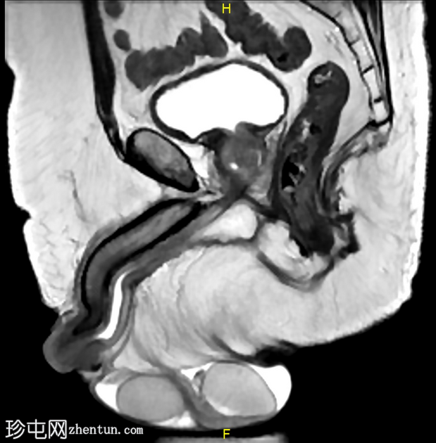
矢状位

T2加权像
2.jpg
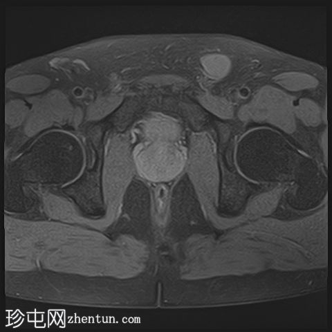
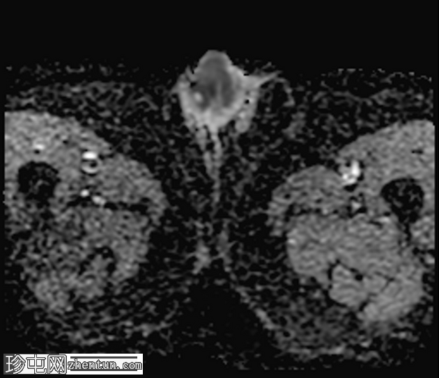
轴位

T1加权像
2.png
轴位T1加权像

脂肪抑制像
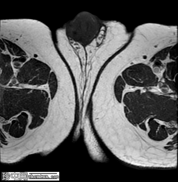
3.jpg
轴位
DWI
3.png
轴位
ADC
矢状位T1加权像
4.png
增强脂肪抑制像

轴位T1加权像
5.png
增强脂肪抑制像
6.png
7.png
8.png
龟头可见不规则形状的软组织肿块,增强后明显强化,并伴有扩散受限。该肿块侵犯尿道海绵体,导致远端尿道狭窄和上游尿道扩张。

左侧腹股沟可见多个肿大的病理性淋巴结,右侧可见较小的非特异性淋巴结。

病理报告:阴茎活检显示浸润性鳞状细胞癌,分化不良,具有基底样特征。免疫组化标记物p63、CK5/6和P16均呈阳性,提示为HPV相关亚型。

病例讨论

阴茎鳞状细胞癌是阴茎癌中最常见的类型。患者化疗效果良好。
您需要登录后才可以回帖 登录 | 注册
Copyright © 2011-2026 东莞市珍屯医疗科技有限公司Powered by zhentun.com
返回顶部