找回密码
 注册

膀胱结石

作者:大江 | 时间:2025-12-24 20:18:38 | 阅读:68| 显示全部楼层
主诉

左侧阴囊和阴茎疼痛,排尿时尿流细弱。

患者资料

年龄:45岁

性别:男

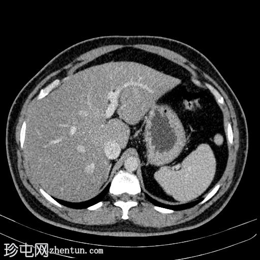
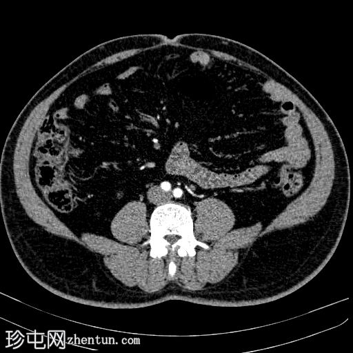
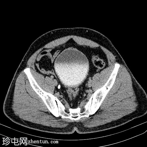
CT
轴位

平扫
1.jpg
轴位增强扫描

动脉期
2.jpg
轴位增强扫描

门静脉期
3.jpg
轴位增强扫描

延迟期
4.jpg
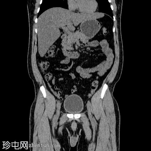
冠状位

平扫
5.jpg
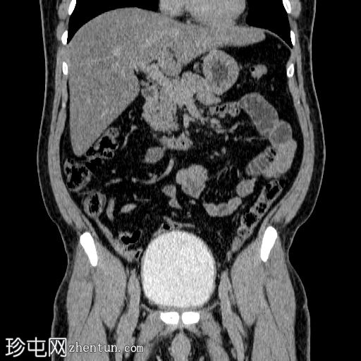
冠状位增强扫描

动脉期
6.jpg
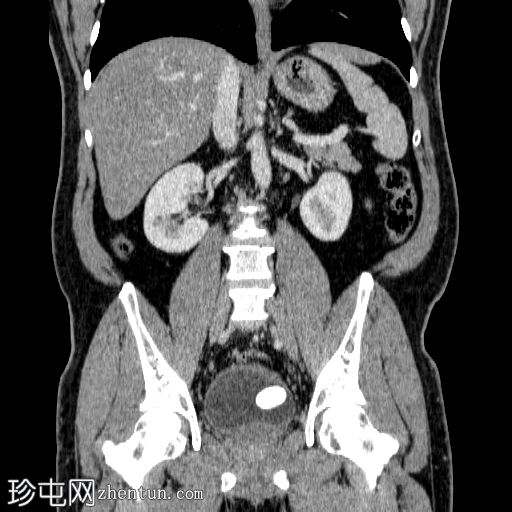
冠状位增强扫描

门静脉期
7.jpg
冠状位增强扫描

延迟期
8.jpg
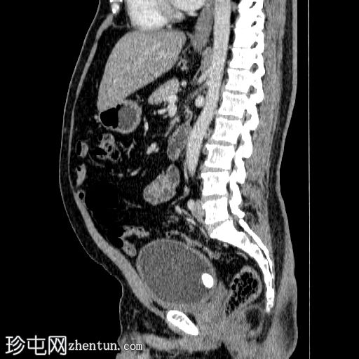
矢状位

平扫
9.jpg
矢状位增强扫描

动脉期
10.jpg
矢状位增强扫描

门静脉期
11.jpg
矢状位增强扫描

延迟期
12.jpg
在左侧输尿管膀胱连接处可见一枚24×15 mm的大膀胱结石。膀胱壁轻度弥漫性增厚,厚度约6 mm,提示膀胱炎。

左肾上极发现一单纯性皮质囊肿,Bosniak I 型,大小为 13 mm。

其他发现:

可见多个副脾(脾小体),位于主脾实质的上方和下方,在影像学各期均表现出与脾脏相似的衰减值。

肝脏弥漫性脂肪浸润。

病例讨论

膀胱结石可引起持续性泌尿系统症状,例如不适、排尿困难和尿频。在某些情况下,结石可能移动到尿道口并阻塞尿液排出。此外,膀胱结石还可能因膀胱刺激和排尿不尽而导致反复泌尿道感染。
您需要登录后才可以回帖 登录 | 注册
Copyright © 2011-2026 东莞市珍屯医疗科技有限公司Powered by zhentun.com
返回顶部