找回密码
 注册

因转移性前列腺癌而进行的超级扫描

作者:大江 | 时间:2025-12-24 20:25:04 | 阅读:65| 显示全部楼层
临床表现

新发下尿路症状,伴腰背部和髋部疼痛。直肠指检触及前列腺硬结。PSA水平=322 ng/ml。

患者资料

年龄:70岁

性别:男

Tc99m MDP骨扫描
1.png
医学检查
2.png
全身
3.png
前位

全身
4.jpg
后位
5.png
融合
MIP
6.png
轴位

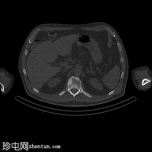
SPECT-CT
7.jpg
轴位融合

SPECT/CT
8.png
矢状位
SPECT-CT
9.png
矢状位
融合SPECT/CT

冠状位
SPECT-CT

冠状位融合
SPECT/CT

脊柱、肋骨、骨盆、颅骨、肩胛骨、胸骨、左侧肱骨和双侧股骨干可见多处放射性示踪剂摄取异常增高,与SPECT-CT扫描图像上显示的硬化病灶相对应。双肾未见放射性示踪剂活性。

病例讨论

骨骼内多处局灶性放射性示踪剂摄取增高,符合骨转移;肾脏内无放射性示踪剂活性,与超扫描结果一致。
您需要登录后才可以回帖 登录 | 注册
Copyright © 2011-2026 东莞市珍屯医疗科技有限公司Powered by zhentun.com
返回顶部