找回密码
 注册

输尿管重复畸形

作者:大江 | 时间:2025-12-24 20:38:08 | 阅读:81| 显示全部楼层
临床表现

下腹痛、血尿和尿滴沥1个月。

患者资料

年龄:35岁

性别:男

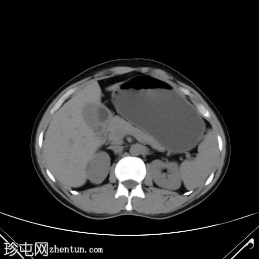
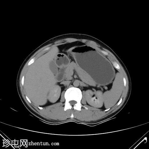
CT
轴位

平扫
1.jpg
轴位肾脏

延迟期
2.jpg
三维肾脏

排泄期
3.png
右肾存在重复肾盂输尿管畸形,输尿管重复;但输尿管远端显影不佳。膀胱内可能存在两个位置接近的输尿管开口。

可见一局灶性息肉样腔内病变,起源于右侧膀胱输尿管连接处外侧的后外侧壁,增强后轻度强化。

双肾均可见小结石。

双肾未见肾积水。

现有1个病例问题

病例讨论

输尿管重复畸形是最常见的先天性肾脏畸形,其特征是肾脏上下极部分融合不完全,导致集合系统出现各种完全或不完全的重复畸形。虽然这是一种解剖变异,且大多数情况下是偶然发现的,但即使在本例患者中,也可能并发膀胱输尿管反流、梗阻性尿路疾病或输尿管囊肿。
您需要登录后才可以回帖 登录 | 注册
Copyright © 2011-2026 东莞市珍屯医疗科技有限公司Powered by zhentun.com
返回顶部