找回密码
 注册

输尿管结石继发的尿瘤

作者:大江 | 时间:2025-12-24 20:44:06 | 阅读:85| 显示全部楼层
临床表现

突发左侧腰部剧烈疼痛和排尿困难,无外伤或手术史。

患者资料

年龄:85岁

性别:男

CT
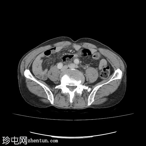
轴位增强扫描(门静脉期)
1.jpg
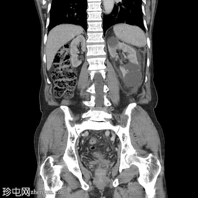
冠状位增强扫描(门静脉期)
2.jpg
矢状位增强扫描(门静脉期)
3.jpg
轴位增强扫描(延迟期)
4.jpg
门静脉期(冠状位、矢状位)可见左侧肾周间隙少量积液,液体沿左侧髂腰肌向下走行。延迟期可见造影剂外渗至左侧肾周间隙,提示尿囊肿。

左侧近端输尿管结石导致中度肾积水,结石大小为0.8 x 0.6 cm,左肾可见一微小非梗阻性结石。

左肾多发性单纯性囊肿。最大的肿块尺寸为 4.4 x 3.8 厘米。

膀胱壁轻度增厚,提示膀胱炎。

前列腺轻度增大,体积约 40 毫升。

偶然发现一处小的食管裂孔疝。

病例讨论

本病例展示了一例尿瘤,即由泌尿系统损伤引起的局部尿液积聚。最常见的病因包括外伤、梗阻(例如输尿管结石导致输尿管穹窿撕裂)以及泌尿外科手术造成的损伤。

影像学上,尿瘤通常表现为肾周或腹膜后间隙的液体积聚。在本例中,延迟 CT 扫描清晰地显示造影剂从(肾盏/肾盂/输尿管)渗出并积聚在肾周间隙,证实了尿瘤的存在。

本病例凸显了在怀疑泌尿道损伤时使用延迟期成像的价值,以及将尿瘤与其他术后或创伤后积液区分开来的价值。
您需要登录后才可以回帖 登录 | 注册
Copyright © 2011-2026 东莞市珍屯医疗科技有限公司Powered by zhentun.com
返回顶部