找回密码
 注册

肾结石

作者:大江 | 时间:2025-12-24 20:45:56 | 阅读:82| 显示全部楼层
病例介绍

左肾绞痛

患者资料
年龄:45岁

性别:男

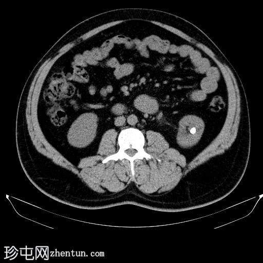
CT
轴位

平扫
1.jpg
冠状位

平扫
2.jpg
矢状位

平扫
3.jpg
左肾盂及肾盏系统内可见多发边界清晰的高密度结石,最大直径约2 cm,平均CT值约418 HU。

结石呈典型的球形形态。

左肾盏系统及肾盂轻度扩张至肾盂输尿管连接处,提示肾盂输尿管连接处梗阻,但未见输尿管扩张或肾周脂肪浸润。

病例讨论

影像学表现符合左肾结石的诊断,与患者的左肾绞痛症状相符。未见输尿管扩张或肾周脂肪间隙增厚,提示本次发作可能并非由急性输尿管梗阻引起。

左肾肾盂肾盏系统轻度扩张至肾盂输尿管连接处,提示可能存在肾盂输尿管连接处梗阻,该梗阻可能导致肾盂输尿管连接处梗阻,进而造成左肾多发性结石形成。
您需要登录后才可以回帖 登录 | 注册
Copyright © 2011-2026 东莞市珍屯医疗科技有限公司Powered by zhentun.com
返回顶部