找回密码
 注册

雄激素不敏感综合征

作者:大江 | 时间:2025-12-27 14:38:19 | 阅读:72| 显示全部楼层
临床表现

原发性闭经

患者资料

年龄:17岁

性别:女

MRI
矢状位

T2加权像
1.jpg
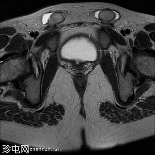
轴位

T2加权像
2.jpg
冠状位

T2加权像
3.jpg
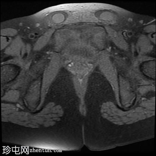
轴位

T1加权像
4.jpg
轴位T1加权像
5.jpg
脂肪抑制序列显示:

女性外生殖器

子宫、宫颈、阴道上2/3及卵巢缺失

双侧睾丸异位,沿腹股沟管清晰可见

病例讨论

MRI表现符合伴女性外生殖器的雄激素不敏感综合征(男性假两性畸形)。

雄激素不敏感综合征(AIS),又称睾丸女性化综合征,是由于靶器官对雄激素(尤其是睾酮)的抵抗所致。

受影响的个体基因型为男性,核型为46XY,但表型为女性(男性假两性畸形),且常伴有双侧隐睾。

主要鉴别诊断为Mayer-Rokitansky-Kuster-Hauser综合征,该病具有女性核型,外生殖器和卵巢发育正常,但子宫发育不全或缺失。
您需要登录后才可以回帖 登录 | 注册
Copyright © 2011-2026 东莞市珍屯医疗科技有限公司Powered by zhentun.com
返回顶部