找回密码
 注册

产后卵巢静脉血栓形成

作者:大江 | 时间:2025-12-27 14:42:41 | 阅读:69| 显示全部楼层
临床表现

产后12天出现剧烈盆腔疼痛,伴发热和炎症指标升高

患者资料

年龄:30岁

性别:女

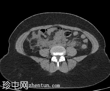
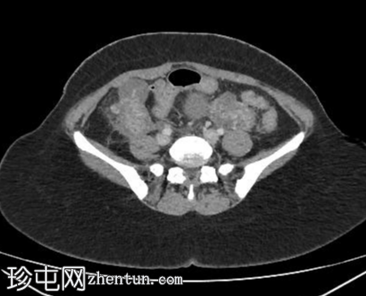
CT
轴位
平扫
1.png
轴位增强扫描(门静脉期)
2.png
冠状位增强扫描(门静脉期)
3.jpg
矢状位增强扫描(门静脉期)
4.jpg
CT扫描显示:

子宫增大(产后)

卵巢静脉预期位置可见管状结构,管壁强化,管腔内可见低密度血栓,轴位和冠状位图像均显示清晰,并伴有血管周围脂肪条索影

卵巢增大水肿

盆腔少量腹腔积液,腹膜反折增厚

肝脏第7段可见微小单纯性肝囊肿

病例讨论

双侧卵巢静脉血栓形成12天的CT表现正常阴道分娩后。

卵巢静脉血栓形成最常见于产后患者。其他危险因素包括:口服避孕药、盆腔感染、恶性肿瘤和近期手术。约80-90%的病例累及右侧卵巢静脉,这可能是由于左侧卵巢静脉的逆行血流阻止了血液淤滞和上行感染。约14%的病例出现双侧受累。主要并发症是栓塞。
您需要登录后才可以回帖 登录 | 注册
Copyright © 2011-2026 东莞市珍屯医疗科技有限公司Powered by zhentun.com
返回顶部