找回密码
 注册

双侧输卵管积水(MRI)

作者:大江 | 时间:2025-12-27 14:45:36 | 阅读:63| 显示全部楼层
临床表现

慢性盆腔疼痛

患者资料

年龄:45岁

性别:女

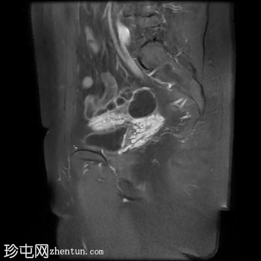
MRI
矢状位

T2加权像
1.jpg
轴位

T1加权像
2.jpg
轴位

T2加权像
3.jpg
轴位T2加权像

脂肪抑制像
4.jpg
轴位T1加权像

脂肪抑制像
5.jpg
冠状位

T1加权像
6.jpg
冠状位T2加权像

脂肪抑制像
7.jpg
轴位
DWI
8.jpg
轴位
ADC值
9.jpg
矢状位T1加权像

增强脂肪抑制像
10.jpg
冠状位T1加权像
增强脂肪抑制像
11.jpg
轴位T1加权像
增强脂肪抑制像
12.jpg
右侧输卵管呈管状囊性扩张,直径达30 mm,提示输卵管积水,呈均匀液体信号,无实性成分。

左侧输卵管亦有轻度扩张,直径26 mm,符合输卵管积水表现。

右侧卵巢可见一单纯性卵巢囊肿,大小约35 x 40 mm,呈正常液体等效信号。

宫内节育器位置正常。

病例讨论

MRI 检查结果显示双侧输卵管积水和右侧卵巢单纯性囊肿。总体而言,所有附件和盆腔检查结果均显示良性 MRI 特征(O-RADS 2 类),无恶性肿瘤迹象。
您需要登录后才可以回帖 登录 | 注册
Copyright © 2011-2026 东莞市珍屯医疗科技有限公司Powered by zhentun.com
返回顶部