找回密码
 注册

子宫内膜息肉

作者:大江 | 时间:2025-12-27 14:47:53 | 阅读:69| 显示全部楼层
临床表现

异常子宫出血

患者资料

年龄:45岁

性别:女

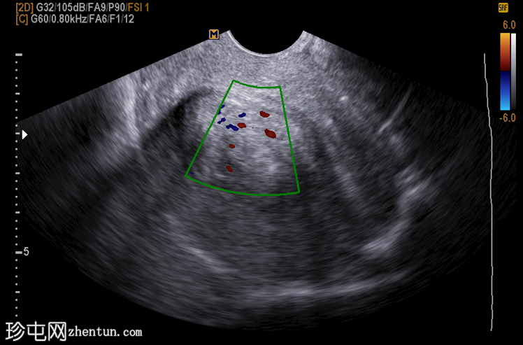
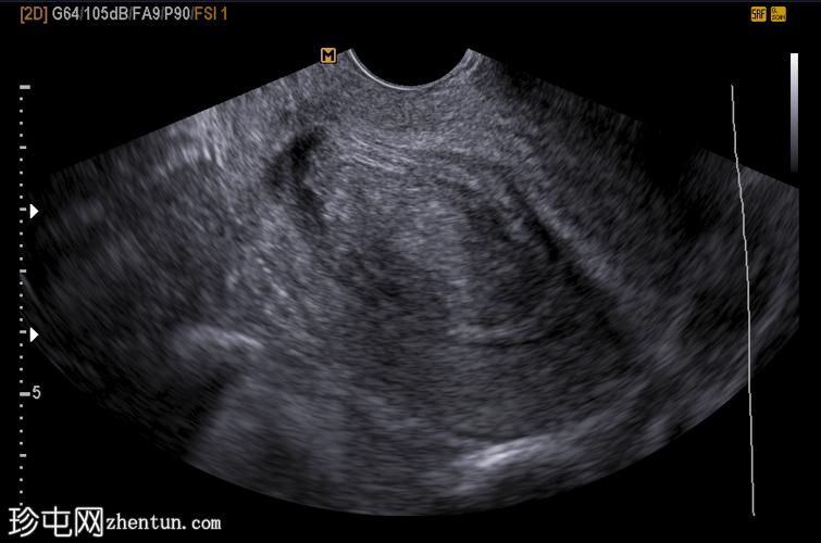
超声检查
1.png
纵切面
2.png
经阴道超声显示:

子宫内膜内可见边界清晰的卵圆形宫腔内病变

回声均匀,较子宫肌层高回声

周围有子宫内膜积液

彩色多普勒显示中央供血血管(供血动脉征)

病例讨论

主要鉴别诊断为黏膜下肌瘤。子宫内膜息肉通常为边界清晰、回声均匀的宫腔内病变,起源于子宫内膜;而黏膜下肌瘤起源于子宫肌层,通常回声不均匀,并可能出现后方声影。

彩色多普勒显示,息肉通常仅显示一条中央供血血管,而肌瘤则可见周围和/或多条血管通道。保持子宫内膜-子宫肌层界面光滑也有利于息肉的形成。
您需要登录后才可以回帖 登录 | 注册
Copyright © 2011-2026 东莞市珍屯医疗科技有限公司Powered by zhentun.com
返回顶部