找回密码
 注册

子宫内膜息肉

作者:大江 | 时间:2025-12-27 14:52:25 | 阅读:59| 显示全部楼层
临床表现

阴道出血

患者资料

年龄:40岁

性别:女

MRI
矢状位

T2加权像
1.jpg
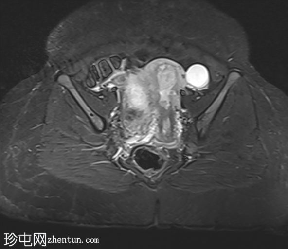
轴位

STIR序列
2.jpg
轴位

T2加权像
3.jpg
冠状位

T2加权像
4.jpg
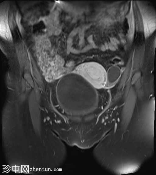
冠状位

T1加权像
5.jpg
轴位

DWI序列
6.jpg
轴位

ADC序列
7.jpg
轴位

T1加权像
8.jpg
轴位T1加权像

脂肪抑制序列
9.jpg
轴位T1加权像
增强脂肪抑制序列
10.jpg
冠状位T1加权像
增强脂肪抑制序列
11.jpg
矢状位T1加权像
增强脂肪抑制序列
12.jpg
子宫体积增大,宫底可见息肉样病变,T2加权像呈异常中高信号强度。病变可见轻度扩散受限,增强后呈均匀强化。病变与宫底交界区之间可见一界限清晰的异常高T2信号区域,可能为囊性变性。未见病变超出交界区。

在剖宫产切口远端的前壁上,可见另一处类似的较小病灶。

左侧附件囊性病变,T1加权像信号异常低,T2加权像信号异常高。无增强扫描强化。

病例讨论

子宫内膜息肉是子宫内膜组织的结节状突起。通常表现为T2加权像信号异常高,增强扫描后呈均匀强化。

病理检查通常显示增生期子宫内膜紊乱。
您需要登录后才可以回帖 登录 | 注册
Copyright © 2011-2026 东莞市珍屯医疗科技有限公司Powered by zhentun.com
返回顶部