找回密码
 注册

双侧卵巢子宫内膜异位囊肿伴深部盆腔子宫内膜异位症

作者:大江 | 时间:2025-12-27 14:55:19 | 阅读:58| 显示全部楼层
临床表现

月经期间出现严重出血和疼痛

患者资料

年龄:40岁

性别:女

MRI
冠状位
T2快速加权像
1.jpg
轴位
T1加权像
2.jpg
轴位
T1加权像
3.jpg
轴位
T1加权像
4.jpg
脂肪抑制像
轴位
5.jpg
T2加权像

冠状位
6.jpg
T2加权像

矢状位
7.jpg
T2加权像
轴位
8.jpg
T1加权像
C+脂肪抑制像
9.jpg
冠状位
T1加权像
10.jpg
C+脂肪抑制像
矢状位
T1加权像

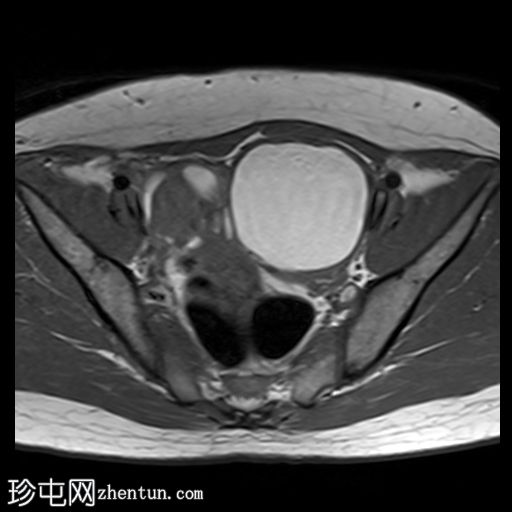
左侧卵巢可见一巨大、无强化囊性病变。该病变壁薄,在T1加权像和T1脂肪抑制像上呈均匀高信号,在T2加权像上呈独特的阴影状,符合子宫内膜异位囊肿的特征。值得注意的是,该病变可见两个增强灶,但未见内部实性成分或对比增强。

此外,右侧卵巢内数个小的、无强化囊性病变表现出类似的信号特征,这也符合子宫内膜异位囊肿的特征。

右侧卵巢内还有另一个囊性病变,在T1加权像上呈低信号,在T2加权像上呈高信号,并可见液平面。该病变无对比剂强化,可能代表出血性黄体囊肿。

双侧卵巢向内侧移位,形成“接吻卵巢征”。

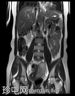
子宫后壁子宫圆锥增厚,累及直肠前壁。

子宫圆韧带增厚。

子宫、双侧卵巢和直肠因挛缩性粘连/纤维带而靠近,形成近期描述的深部盆腔子宫内膜异位症的“三叶草征”。

深部盆腔子宫内膜异位囊肿和双侧卵巢子宫内膜异位囊肿的检查结果令人印象深刻。

病例讨论

双侧卵巢出血性囊肿提示双侧子宫内膜异位囊肿,也称为巧克力囊肿。双侧卵巢位置接近,被称为“接吻卵巢”,这是由于粘连、子宫圆锥韧带和卵巢圆韧带增厚以及卵巢、直肠和子宫呈三叶草状排列所致,提示盆腔子宫内膜异位症。
您需要登录后才可以回帖 登录 | 注册
Copyright © 2011-2026 东莞市珍屯医疗科技有限公司Powered by zhentun.com
返回顶部