找回密码
 注册

子宫平滑肌瘤的红色变性

作者:大江 | 时间:2025-12-27 15:02:51 | 阅读:65| 显示全部楼层
临床表现

患者主诉盆腔疼痛超声检查显示子宫肌层肿块。

患者资料

年龄:45岁

性别:女

MRI
矢状位
T2加权像
1.png
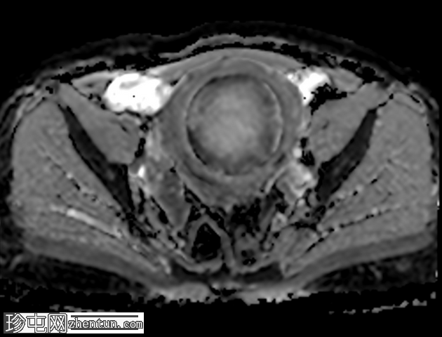
轴位
T2加权像
2.png
轴位T2加权像

脂肪抑制
3.png
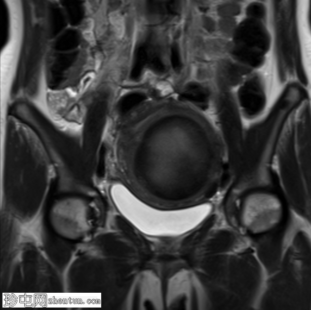
冠状位
T2加权像
4.png
斜位

长轴T2加权像
5.png
斜位T1加权像
6.png
脂肪抑制VIBE序列
7.png
冠状位
血管扭转MIP序列
8.png
轴位
DWI
9.png
轴位
ADC
10.png
轴位T1增强加权像
11.png
脂肪抑制VIBE序列

长轴斜位
T1增强加权像
12.png
斜位
MIP序列
13.png
斜位

MIP

子宫前壁可见一边界清晰的壁内病灶,大小约7.8 × 7 × 6.8 cm。脂肪抑制T1加权像呈弥漫性高信号,T2加权像呈高信号伴低信号环,无扩散受限及对比增强。

此外,可见一个2厘米的带蒂浆膜下肌瘤,以及较小的肌壁内和浆膜下肌瘤;所有肌瘤均呈均匀强化。

盆腔内可见少量游离液体,可能为生理性。

未发现明显淋巴结肿大。

病例讨论

红色(出血性)变性是一种出血性梗死,由子宫肌瘤周围静脉回流受阻(静脉血栓形成)或瘤内动脉破裂引起。它最常与妊娠期间肌瘤快速生长或服用口服避孕药有关。

MRI可对子宫肌瘤进行准确诊断和定性,包括识别出血性(红色)变性等罕见并发症,并有助于将其与其他可能需要手术治疗的疾病区分开来。
您需要登录后才可以回帖 登录 | 注册
Copyright © 2011-2026 东莞市珍屯医疗科技有限公司Powered by zhentun.com
返回顶部