找回密码
 注册

宫颈平滑肌瘤——脱垂至阴道

作者:大江 | 时间:2025-12-27 15:14:11 | 阅读:82| 显示全部楼层
就诊情况

月经来潮,下腹部疼痛,排尿困难。

患者资料

年龄:45岁

性别:女

超声检查
1.png
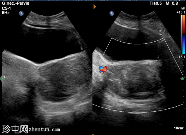
横切面
2.png
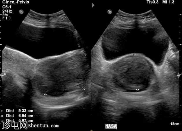
纵切面
3.png
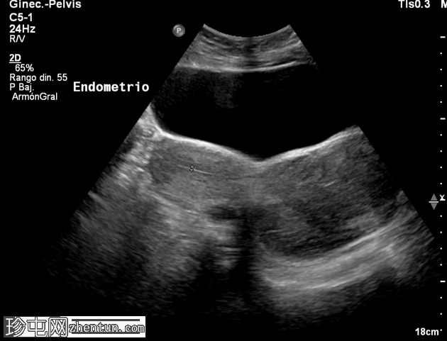
横切面
子宫前倾位。纵径、前后径、横径分别为145 × 41 × 58 mm。

由于存在一个边界清晰、形态不规则的低回声实性肿块,子宫呈异质性回声。该肿块位于宫颈区域,似乎延伸至阴道方向,大小为93 × 69 × 59 mm。

病理检查
4.png
400倍肉眼观察

病理检查
5.png
400倍肉眼观察

病理检查
6.png
400倍肉眼观察

病理检查

纵切面,从宫颈到子宫底,由于子宫内膜腔封闭,福尔马林无法到达,因此子宫内膜腔呈“红色”。背面视图,完整图像。

病例讨论

超声检查发现宫颈区域有一实性异质性肿块,延伸至阴道。鉴别诊断包括宫颈平滑肌瘤和宫颈肿瘤。需行盆腔MRI检查以明确病变性质。

患者因出血被送入手术室,术中发现阴道内有一平滑肌瘤。因此,未行盆腔MRI检查。
您需要登录后才可以回帖 登录 | 注册
Copyright © 2011-2026 东莞市珍屯医疗科技有限公司Powered by zhentun.com
返回顶部