找回密码
 注册

宫内节育器

作者:大江 | 时间:2025-12-27 15:17:38 | 阅读:73| 显示全部楼层
病例介绍

患者接受了经阴道超声检查。

患者资料

年龄:20岁

性别:女

超声
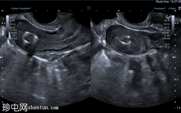
1.png
纵切面
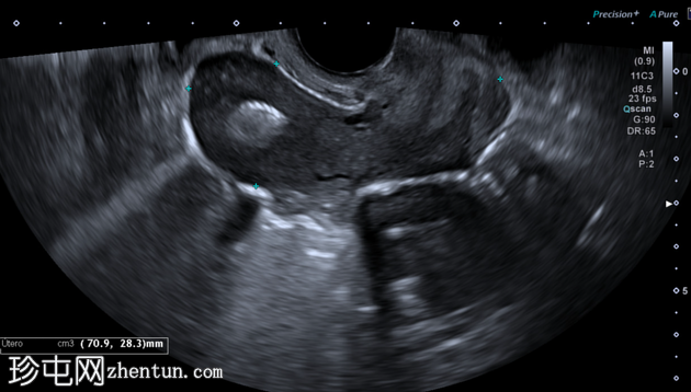
2.png
矢状切面

纵切面和横切面经阴道超声图像显示子宫内膜腔内有一个高回声肿块,呈圆形,并具有典型的“珍珠串”样外观,符合宫内节育器(IUB)的特征。

病例讨论

宫内节育器(IUB)是一种新型避孕装置,其设计使其能够贴合子宫内膜腔,呈球形。与传统的T型宫内节育器(IUD)相比,其柔性铜线圈结构旨在最大限度地降低子宫穿孔、移位和脱落的风险。

在超声图像上,宫内节育器通常表现为子宫内膜腔内的高回声圆形结构,常呈现出由铜线圈产生的典型“珍珠串”样外观。在高分辨率经阴道超声检查中,纵切面和横切面均可清晰显示该特征。后方声影可能存在,但通常不如硬性宫内节育器(IUD)的后方声影明显。

识别宫内节育器的超声影像对于避免诊断混淆至关重要,尤其是在盆腔疼痛、异常出血或月经推迟的患者中,必须确认节育器的位置和完整性。正确识别有助于进行适当的咨询,并避免不必要的诊断或手术干预。
您需要登录后才可以回帖 登录 | 注册
Copyright © 2011-2026 东莞市珍屯医疗科技有限公司Powered by zhentun.com
返回顶部