找回密码
 注册

宫颈癌 - IIIC1期

作者:大江 | 时间:2025-12-27 15:21:39 | 阅读:92| 显示全部楼层
临床表现

经阴道超声检查发现宫颈肿块。

患者资料

年龄:50岁

性别:女

MRI
矢状位

T2加权像
1.jpg
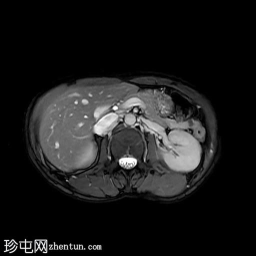
轴位

T2加权像
2.jpg
轴位

T1加权像
3.jpg
轴位

DWI
4.jpg
轴位

ADC
5.jpg
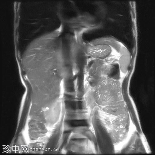
冠状位T2加权像

脂肪抑制像
6.jpg
矢状位T1加权像

C+脂肪抑制像
7.jpg
轴位T1加权像

C+脂肪抑制像
8.jpeg
冠状位

T2加权像
9.jpg
轴位
T2加权像
10.jpg
轴位
T1加权像
11.jpg
脂肪抑制像
12.jpg
轴位
T2加权像
13.jpg
脂肪抑制像

轴位
14.jpg
DWI
15.jpg
轴位
ADC
16.jpg
该宫颈癌体积较大,局部晚期,大小为22 x 40 x 42 mm,起源于宫颈左后外侧壁,向下延伸至阴道上三分之一处,位于宫颈中后外侧壁。

病变还累及左侧前外侧的宫旁组织。

左侧髂内静脉分叉下方可见一异常信号淋巴结肿大,最大短轴直径(SAD)为 8 mm。该淋巴结在弥散加权成像(DWI)上显示水限制,并有对比增强。

此外,肝脏第二段左叶可见一 10 x 12 mm 的肝脏肿块,在重 T2 加权像上呈高信号。该病灶呈周边结节状强化,提示为血管瘤。肝脏第八段右叶可见一类似病灶,大小约 10 mm。

此外,右肾中极可见一大小约 5 mm 的肾皮质囊肿。

病例讨论

影像学检查结果提示,根据 FIGO 分期系统,该患者为宫颈癌 IIIC1 期。

宫颈肿块活检的组织病理学报告显示为宫颈鳞状细胞癌,具体来说是角化型。
您需要登录后才可以回帖 登录 | 注册
Copyright © 2011-2026 东莞市珍屯医疗科技有限公司Powered by zhentun.com
返回顶部