找回密码
 注册

弥漫性子宫腺肌症伴小壁内肌瘤

作者:大江 | 时间:2025-12-27 15:24:19 | 阅读:90| 显示全部楼层
临床表现

慢性盆腔疼痛和月经过多。

患者资料

年龄:40岁

性别:女

MRI
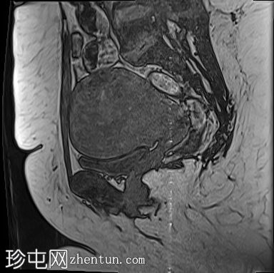
矢状位

T2加权像
1.jpg
轴位

T2加权像
2.jpg
矢状位

T1加权像
3.jpg
矢状位
T2脂肪抑制像
4.jpg
冠状位T2脂肪抑制像
5.jpg
冠状位T1脂肪抑制像
6.jpg
矢状位T1脂肪抑制像
7.jpg
C+脂肪抑制像

子宫前倾且体积增大,交界区呈边界不清、弥漫性对称性增厚。T2加权像和T2脂肪抑制像均显示条纹状高信号,无异常强化或扩散受限。

子宫内膜腔、交界区和外层肌层边界不清。

子宫肌层前壁可见一小而边界清晰的实性病灶,大小为1.1 × 1.0 cm。该病灶在T1加权像上呈中等信号强度,在T2加权像上呈低信号强度,无强化,无扩散受限。

病例讨论

盆腔MRI是诊断和鉴别子宫腺肌症的首选方法,其中小视野矢状位和轴位T2加权序列最具诊断价值。

MRI上,T2加权像上交界区增厚超过12 mm是子宫腺肌症的特征性表现。

本病例展示了弥漫性子宫腺肌症的典型MRI特征,包括交界区弥漫性增厚和T2加权像上呈条纹状高信号区域。
您需要登录后才可以回帖 登录 | 注册
Copyright © 2011-2026 东莞市珍屯医疗科技有限公司Powered by zhentun.com
返回顶部