找回密码
 注册

输卵管卵巢脓肿

作者:大江 | 时间:2025-12-27 15:30:36 | 阅读:108| 显示全部楼层
临床表现

发热和左侧盆腔疼痛

患者资料

年龄:28岁

性别:女

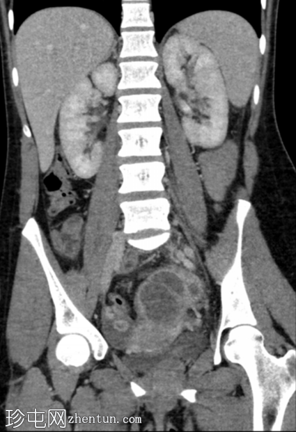
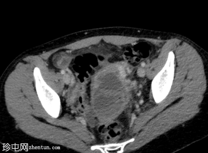
CT
轴位增强扫描(门静脉期)
1.png
冠状位增强扫描(门静脉期)
2.png
矢状位增强扫描(门静脉期)
3.png
左侧附件可见多房性管状、迂曲囊性病变,囊壁不规则增厚,内部可见碎屑和分隔,符合输卵管积脓的诊断。左侧卵巢未单独显示。

盆腔少量腹水,盆腔腹膜脂肪间隙轻度模糊。

右侧卵巢可见一小黄体囊肿,边缘增厚并有强化。

子宫周围静脉通道明显,提示轻度盆腔充血综合征。

病例讨论

输卵管卵巢脓肿是盆腔炎的晚期并发症之一。

典型的放射学特征如本例所示,包括管状多房性复杂附件病变,伴有碎屑、分隔和不规则的厚壁,这可以确诊为输卵管积脓。
您需要登录后才可以回帖 登录 | 注册
Copyright © 2011-2026 东莞市珍屯医疗科技有限公司Powered by zhentun.com
返回顶部