找回密码
 注册

阴道内卫生棉条

作者:大江 | 时间:2025-12-27 15:33:37 | 阅读:58| 显示全部楼层
临床表现

患者主诉右上腹疼痛、黄疸及低热。临床高度怀疑急性病毒性肝炎。腹部及盆腔CT检查偶然发现。

患者资料

年龄:20岁

性别:女

CT
定位片
1.png
轴位增强扫描(门静脉期)
2.jpeg
冠状位增强扫描(门静脉期)
3.png
矢状位增强扫描(门静脉期)
4.png
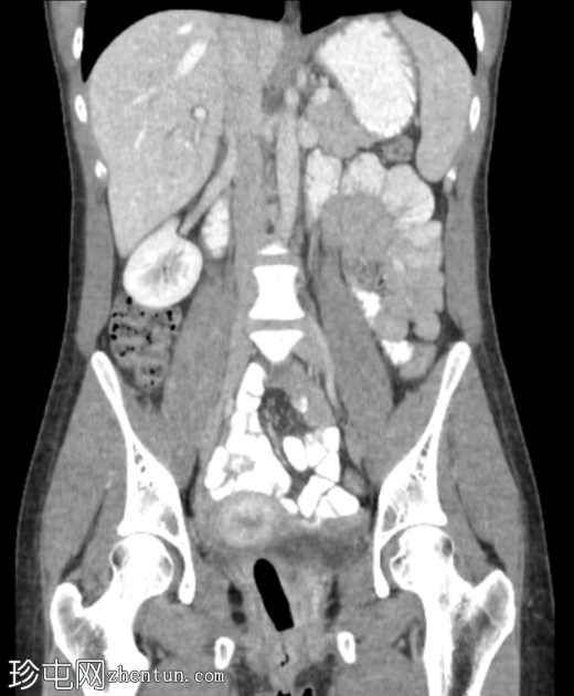
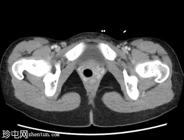
定位片、轴位、矢状位及冠状位图像均可见阴道内有一根线状充气棉塞。棉塞的线头在本例中清晰可见。

肝脏轻度肿大,伴门静脉周围水肿及液性密度影,与临床高度怀疑急性肝炎相符。

病例讨论

阴道内有一根棉塞(女性卫生用品),是月经期女性在X线检查中常见的偶然发现。它们由棉和人造丝制成,容易滞留空气,因此在影像检查中,它们会呈现出阴道的形状和方向。有时,也能看到卫生棉条的线,就像本例中一样。放射科医生应该能够识别阴道卫生棉条,以免将其与病变混淆。
您需要登录后才可以回帖 登录 | 注册
Copyright © 2011-2026 东莞市珍屯医疗科技有限公司Powered by zhentun.com
返回顶部