找回密码
 注册

促性腺激素低下性性腺功能减退症

作者:大江 | 时间:2025-12-27 15:37:34 | 阅读:78| 显示全部楼层
临床表现

初潮后月经不规律且量少。初潮延迟至15岁。超声检查显示子宫发育不良,体积较小。

患者资料

年龄:17岁

性别:女

MRI
矢状位

T2加权像
1.png
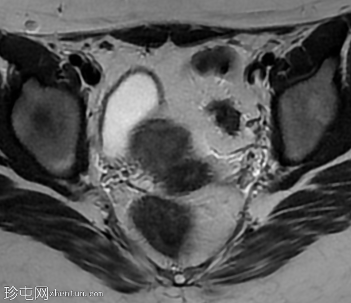
轴位

T2加权像
2.png
轴位

T1加权像
3.png
冠状位

T2加权像
4.png
轴位

STIR序列
5.png
轴位
STIR序列
6.png
子宫体积较小,最大横径、前后径和头尾径均为3.0 x 3.0 x 2.7 cm。子宫体与宫颈的比例为1.3:1。子宫无明显分区结构。

双侧卵巢发育不良,无卵泡活动。

病例讨论

子宫和卵巢体积均较小,这一综合特征提示垂体功能障碍和促性腺激素低下性性腺功能减退症的可能性较大,而非单纯的子宫发育不良。影像学检查初步提示了这一可能性,后续实验室检查也证实了这一点,结果显示卵泡刺激素(FSH)、黄体生成素(LH)和生长激素水平降低,而促甲状腺激素(TSH)水平正常。

青春期时,子宫生长主要依赖于循环中的雌二醇。青春期启动的特征是子宫形状由管状变为梨形,子宫体积和子宫内膜厚度增加,以及卵巢体积增大。

在激素缺乏的患者中,影像学检查常常误诊为子宫发育不良,因为外源性雌激素暴露已被发现能够刺激这些患者的子宫发育,这表明患者并非子宫发育不全/发育不良,而是青春期子宫发育不足。由于有可能对子宫发育不全或发育不良得出错误结论,因此应谨慎看待青春期前子宫影像检查结果。
您需要登录后才可以回帖 登录 | 注册
Copyright © 2011-2026 东莞市珍屯医疗科技有限公司Powered by zhentun.com
返回顶部