找回密码
 注册

腹部和盆腔核磁共振成像结果正常 - 14岁

作者:大江 | 时间:2025-12-27 15:42:44 | 阅读:101| 显示全部楼层
病例介绍

这位年轻女孩无腹部或盆腔不适。青春期发育正常,月经规律。此次前来体检,以排除卵巢肿瘤,因为她的母亲有卵巢癌病史。

患者资料

年龄:14岁

性别:女

MRI
矢状位
T2加权像
1.png
冠状位
T2加权像
2.jpeg
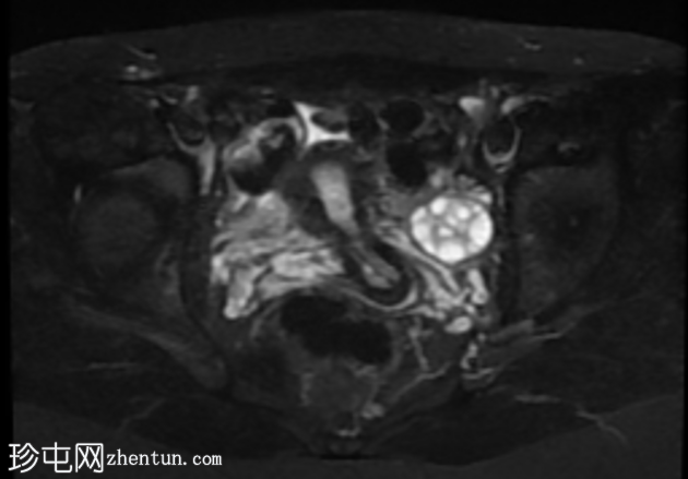
轴位
T2加权像
3.png
轴位
T2加权像
4.png
轴位
STIR序列
5.png
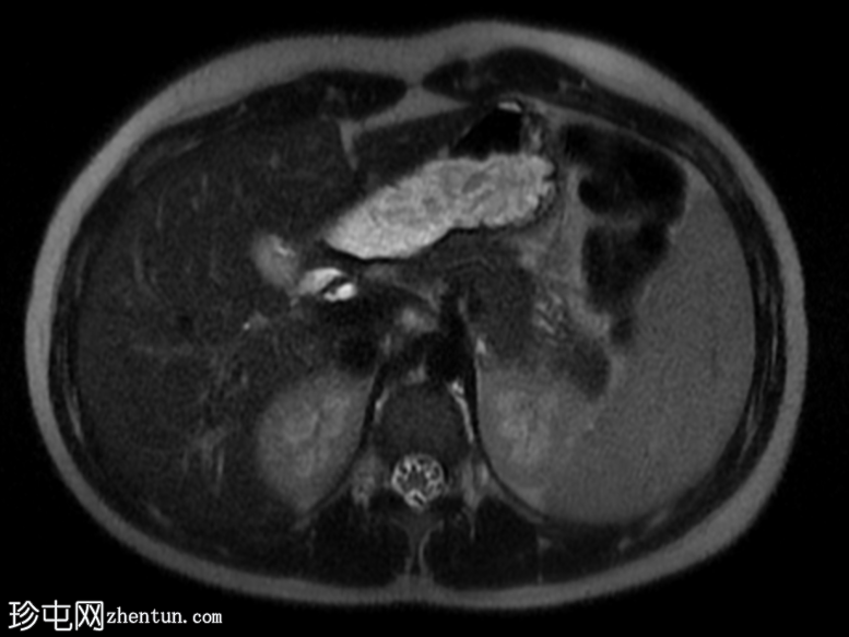
轴位
T1加权像
6.png
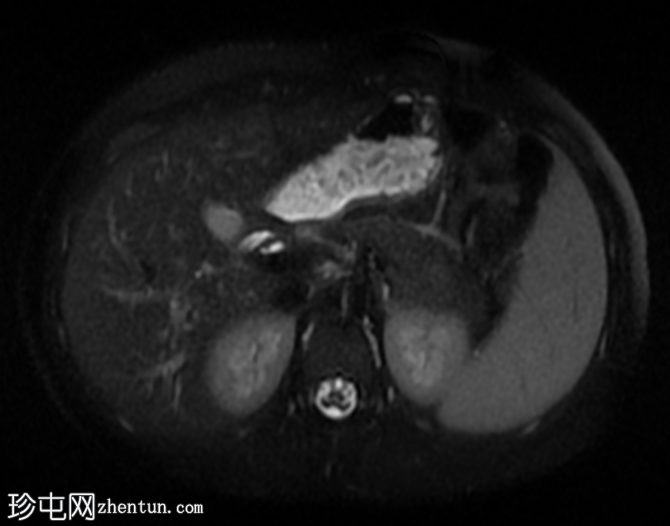
轴位
STIR序列
7.png
冠状位
STIR序列
8.png
轴位
ADC序列
9.jpeg
轴位
DWI序列
10.jpeg
轴位
DWI序列
11.jpeg
轴位
ADC序列
12.jpeg
子宫前倾位,分区解剖结构正常。矢状位序列可见子宫前壁肌层局灶性边界不清的低信号病灶,但在后续序列中未见明显,符合短暂的生理性子宫肌层收缩表现。

双侧卵巢大小及卵泡活动均正常。未见囊性或实性肿块。

腹部MRI检查结果正常。

病例讨论

该病例的盆腔器官MRI表现与患者年龄(14岁)相符,子宫位置正常,分区解剖结构正常,双侧卵巢大小及卵泡活动均正常,未见囊性或实性肿块。

此外,MRI还意外发现子宫肌层局灶性病变,T2信号低,易被误诊为子宫肌瘤。然而,该病变在后续序列中消失,符合短暂的生理性子宫肌层收缩所致。
您需要登录后才可以回帖 登录 | 注册
Copyright © 2011-2026 东莞市珍屯医疗科技有限公司Powered by zhentun.com
返回顶部