找回密码
 注册

食指软骨瘤

作者:大江 | 时间:2026-1-10 15:47:42 | 阅读:57| 显示全部楼层
临床表现

食指疼痛和肿胀。

患者资料

年龄:20岁

性别:女

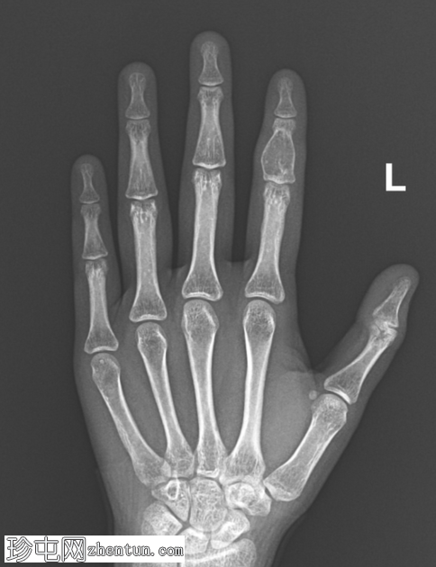
X线片
1.png
正位片
2.png
侧位片

左手食指中节指骨可见一边界清晰、膨胀性髓内溶骨性病变。病变表现为骨内膜凹陷伴轻度皮质变薄,但未见皮质破裂。软骨基质钙化呈淡点状。未见骨膜反应或邻近软组织肿块。未见病理性骨折。邻近的近节和远节指间关节结构完整。其余可见骨骼密度和排列正常,未见其他病变。

病例讨论

教学要点:

内生软骨瘤常累及手部指骨

骨内膜扇形凹陷伴软骨样钙化是其特征性表现

缺乏侵袭性特征提示良性软骨病变

病理性骨折是已知的并发症,但也可能不发生
您需要登录后才可以回帖 登录 | 注册
Copyright © 2011-2026 东莞市珍屯医疗科技有限公司Powered by zhentun.com
返回顶部