找回密码
 注册

拇外翻

作者:大江 | 时间:2026-1-10 15:50:15 | 阅读:82| 显示全部楼层
表现

足内侧骨性隆起。

患者资料

年龄:10岁

性别:男

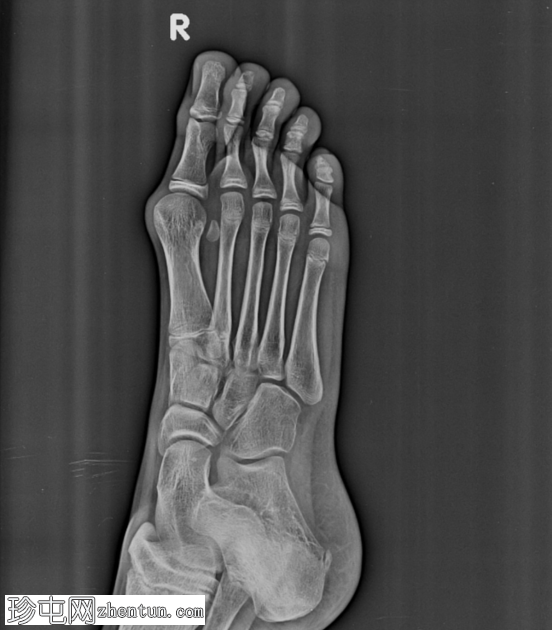
X线片
1.png
正位片
2.png
斜位片

第一跖趾关节处拇趾(拇趾)向外侧偏斜。第一跖骨向内侧偏斜,导致拇外翻角增大。近节趾骨相对于第一跖骨头轻度向外侧半脱位。第一跖骨头内侧隆起,呈圆形。

未见急性骨折或脱位。其余可见的跖骨和趾骨排列正常。未见骨侵蚀或局灶性破坏性病变。

病例讨论

教学要点:

拇外翻是指大脚趾向外侧偏斜。

足部正位X线片用于评估严重程度和对线情况。

拇外翻角度和跖骨间角的测量有助于指导治疗。

斜位片有助于评估关节匹配度及相关变化。

第一跖骨头圆钝是拇外翻的危险因素。
您需要登录后才可以回帖 登录 | 注册
Copyright © 2011-2026 东莞市珍屯医疗科技有限公司Powered by zhentun.com
返回顶部