找回密码
 注册

原发性骨髓纤维化伴髓外造血

作者:大江 | 时间:2026-1-10 16:47:48 | 阅读:71| 显示全部楼层
病例介绍

已知原发性骨髓纤维化患者,正在接受化疗。

患者资料

年龄:50岁

性别:男

PET-CT

CT
冠状位
1.png
PET
轴位增强扫描(C+)门静脉期
2.png
轴位融合扫描

PET-CT
3.png
轴位

冠状位增强扫描(C+)门静脉期
4.png
冠状位

PET-CT
5.jpg
矢状位

骨窗
6.jpg
矢状位
7.jpg
融合PET-CT
8.jpg
骨髓纤维化的经典三联征:

弥漫性骨硬化,FDG摄取轻度增高

脾肿大(23厘米),FDG摄取轻度增高(SUVmax 4)

椎旁(轴位和冠状位)、左侧主动脉旁和骶前区可见多个边界清晰的非FDG摄取肿块,内部可见脂肪衰减

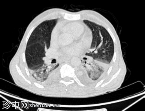
双侧下叶肺实变,FDG摄取增高(SUVmax 7),可能为炎症性

心脏扩大和轻度双侧胸腔积液。

轻度肝肿大和胆结石

右侧肾上腺小结节无FDG摄取,直径10mm,平均衰减值为50 HU。

病例讨论

该病例表现出原发性骨髓纤维化的经典三联征:

骨硬化

脾肿大

髓外造血(病灶位于典型的椎旁、主动脉旁和骶前部位,具有特征性的内部脂肪密度,PET-CT检查未见代谢活性)。

原发性骨髓纤维化是一种骨髓增生性肿瘤,其特征是骨髓被胶原结缔组织替代,导致进行性纤维化。该病通常发生于中老年男性,男性略多于女性。
您需要登录后才可以回帖 登录 | 注册
Copyright © 2011-2026 东莞市珍屯医疗科技有限公司Powered by zhentun.com
返回顶部