找回密码
 注册

类风湿关节炎

作者:大江 | 时间:2026-1-10 17:00:29 | 阅读:72| 显示全部楼层
主诉

关节痛。

患者资料

年龄:25岁

性别:女

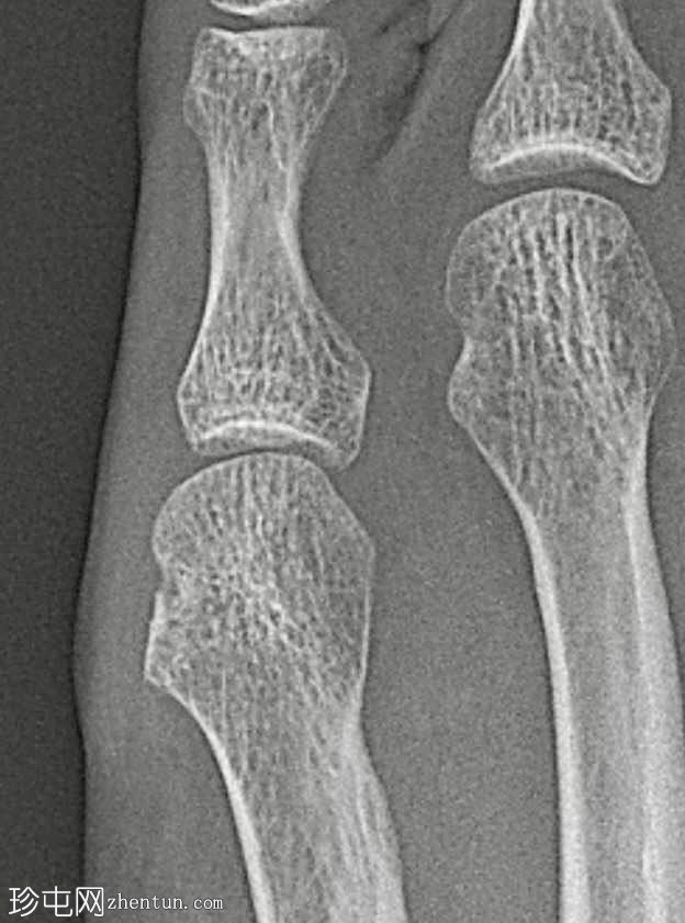
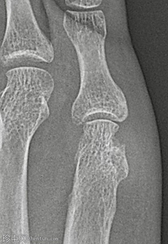
X线片
1.jpg
多发性
2.jpg
多发性

骨质疏松伴皮质变薄

左侧和右侧第五跖骨头关节旁骨侵蚀

边界不清

放大锐化图像

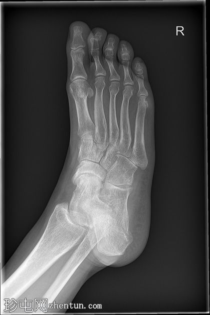
X线片
3.jpg
4.jpg
5.jpg
6.jpg
骨质疏松伴皮质变薄

左侧(正位、斜位)和右侧(正位斜位)第五跖骨头关节旁骨侵蚀

边界不清

局部软组织肿胀

风湿因子(RF)定量:14.7 IU/mL(正常值0-14)

环磷酰胺(CCP)IgG:5 U/mL(正常值0-4)

病例讨论

2年前确诊类风湿关节炎(RA)

甲氨蝶呤近期增至20 mg/周

对称性多关节炎是RA最常见的表现

手足小关节受累通常早期受累

第五跖趾关节是已确诊疾病中常见的侵蚀关节

侵蚀通常位于跖骨头跖侧,提示炎症和生物力学因素均有影响

斜位X线片、放大倍数和锐化算法对于显示这些侵蚀至关重要

边界不清提示疾病活动期

早期识别并使用改善病情抗风湿药(DMARDs)治疗对于预防进展至不可逆的关节损伤至关重要

创伤后距舟关节病
您需要登录后才可以回帖 登录 | 注册
Copyright © 2011-2026 东莞市珍屯医疗科技有限公司Powered by zhentun.com
返回顶部