找回密码
 注册

卵巢畸胎瘤伴肝包膜沉积

作者:大江 | 时间:2026-2-27 14:52:38 | 阅读:50| 显示全部楼层
临床表现

近几个月来出现轻微腹痛和便秘。

患者资料

年龄:75岁

性别:女

CT
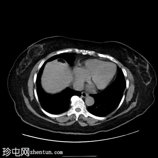
1.jpg
轴位

平扫
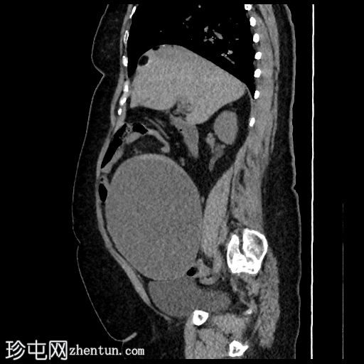
2.jpg
矢状位

平扫
3.jpg
冠状位

平扫

肝脏VIII段可见边界清晰的含液和脂肪的病变,边缘可见钙化,符合卵巢畸胎瘤肝包膜沉积。

腹盆腔可见较大的规则、薄壁病变,主要为液体,内部可见含脂肪的小叶和边缘钙化,符合卵巢畸胎瘤的影像学表现。

组织病理学报告

照片
4.jpeg
5.jpeg
手术切除的卵巢和肝脏病变的组织病理学检查显示成熟畸胎瘤的特征,包含来源于多个胚层的成分。

未发现恶性转化的证据。

病例讨论

卵巢畸胎瘤,最常见的是成熟囊性畸胎瘤,是最常见的卵巢生殖细胞肿瘤,其影像学特征包括肉眼可见的脂肪、钙化以及在CT和MRI上可见的异质性囊性及软组织成分。

本例中,虽然影像学表现最初提示肝脏畸胎瘤,但组织病理学检查显示肝脏病变是卵巢畸胎瘤内容物在包膜内的沉积,未累及肝实质。这些发现排除了存活组织种植和原发性肝脏畸胎瘤。
您需要登录后才可以回帖 登录 | 注册
Copyright © 2011-2026 东莞市珍屯医疗科技有限公司Powered by zhentun.com
返回顶部