找回密码
 注册

多发性胆结石

作者:大江 | 时间:2026-2-27 14:59:19 | 阅读:67| 显示全部楼层
临床表现

腹痛,尤其在进食油腻食物后加剧。

患者资料

年龄:50岁

性别:女

CT
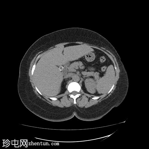
轴位

平扫
1.jpg
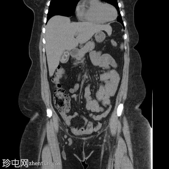
冠状位

平扫
2.jpg
矢状位

平扫
3.jpg
胆囊内可见多发大小不一的多面环状钙化胆结石。胆总管直径处于正常上限。胆总管内未见其他结石。

右侧肾中盏可见一非梗阻性结石(10.5 mm),CT值较高(900–1000 HU)。

病例讨论

钙化胆囊结石相对于胆汁呈高密度,因此是唯一能在CT图像上清晰显示的结石类型。在CT图像上,大部分胆固醇结石相对于胆汁呈低密度,而其他类型的胆结石与胆汁呈等密度,这些结石在CT图像上可能无法清晰显示。

右肾中盏可见高密度肾结石(900–1000 HU),提示为含钙硬结石,可能为草酸钙一水合物。
您需要登录后才可以回帖 登录 | 注册
Copyright © 2011-2026 东莞市珍屯医疗科技有限公司Powered by zhentun.com
返回顶部