找回密码
 注册

肾结石

作者:大江 | 时间:2026-3-11 12:11:55 | 阅读:27| 显示全部楼层
临床表现

右侧腰痛伴发热。无排尿困难或肉眼血尿。

患者资料

年龄:45岁

性别:女

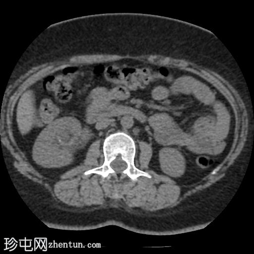
腹部平扫(KUB)

CT
1.jpg
轴位

平扫
2.jpg
冠状位

平扫
3.jpg
矢状位

平扫

平扫CT显示右肾盂内有一结石,大小约17 × 16 mm,CT值1115 HU,引起轻度肾积水。右肾下盏内可见另一小结石,大小约8 × 4 mm,CT值611 HU。

子宫前壁可见一软组织肿块,大小29 × 24 mm,与子宫肌层密度相近,呈外生性生长,无钙化或脂肪成分。

其他腹部器官CT检查结果正常。

4 个病例问题

病例讨论

非增强 CT 对检测泌尿系统结石具有很高的敏感性。大多数结石为放射性不透光结石,其衰减值因成分而异。本例中,较大的右肾盂结石的衰减值为 1115 HU,符合鸟粪石的特征,鸟粪石通常与感染有关,在女性中更为常见,并且可能形成鹿角状结石。

较小的下肾盏结石的衰减值为 611 HU,提示为草酸钙结石。识别结石成分对于指导治疗和预防具有重要的临床意义。

关于子宫病变,其主要符合浆膜下肌瘤的特征。建议进行经阴道超声检查。
您需要登录后才可以回帖 登录 | 注册
Copyright © 2011-2026 东莞市珍屯医疗科技有限公司Powered by zhentun.com
返回顶部