找回密码
 注册

腔后输尿管

作者:大江 | 时间:2026-3-11 12:14:51 | 阅读:27| 显示全部楼层
临床表现

右侧腰部间歇性疼痛,伴有排尿灼痛。

患者资料

年龄:15岁

性别:男

CT
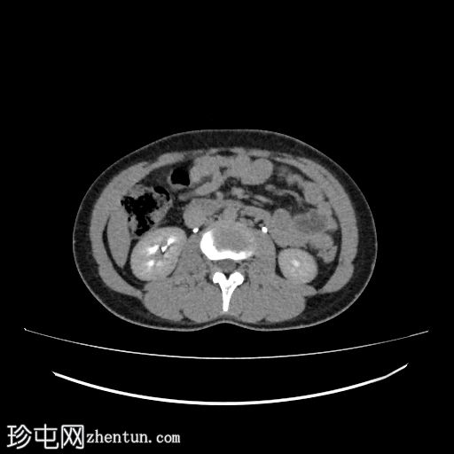
肾轴位

肾实质期
1.jpg


排泄期
2.jpg
肾轴位

排泄期
3.jpg
轴位

平扫
4.jpg
右侧输尿管近端至中段在L3-L5椎体水平向内侧移位

输尿管在L3-L4椎体水平轻度节段性隆起

该段输尿管走行于下腔静脉后方,然后从主动脉和下腔静脉之间向内侧走行,远端转向外侧,正常开口于膀胱输尿管连接处

上中段未显影

远端显影的输尿管走行正常,通向膀胱

肾图和膀胱造影正常

无结石

右侧输尿管走行异常,属于环腔静脉/腔后输尿管(2型)

病例讨论

腔后输尿管(环腔输尿管)是一种罕见的先天性畸形,由下腔静脉(IVC)胚胎发育异常引起。在这种情况下,肾下段下腔静脉形成于输尿管前方,迫使近端输尿管走行于其后方。由于下腔静脉的正常解剖位置,这种情况几乎总是累及右侧输尿管。

虽然是先天性的,但患者通常在30至40岁时出现症状,这是由于输尿管逐渐受压导致肾积水所致。临床表现包括腰痛、反复尿路感染或血尿,但也有一些病例是偶然发现的。在本病例中,患者就诊时年龄相对较轻,表现为右侧腰痛和尿痛。

影像学上,该畸形可分为两种类型。 1 型是较常见的类型,表现为近端输尿管明显向内侧偏移,呈经典的“S”形或“鱼钩”形,并伴有肾积水。2 型较少见,表现为输尿管袢位置较高,梗阻程度较轻,呈镰刀状。过去主要通过静脉尿路造影进行诊断,而现在 CT 尿路造影和 MR 尿路造影能够更清晰地显示输尿管与下腔静脉的关系以及梗阻程度。

治疗方案取决于症状和梗阻程度。无症状患者可保守治疗,而有症状的患者通常需要手术矫正,将输尿管移位至下腔静脉前方。
您需要登录后才可以回帖 登录 | 注册
Copyright © 2011-2026 东莞市珍屯医疗科技有限公司Powered by zhentun.com
返回顶部