找回密码
 注册

前列腺尿道结石

作者:大江 | 时间:2026-3-11 12:21:59 | 阅读:29| 显示全部楼层
临床表现

耻骨上区剧烈压痛和尿潴留。

患者资料

年龄:40岁

性别:男

CT
1.jpg
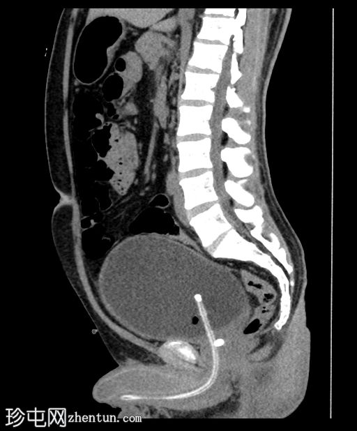
矢状位

平扫
2.jpg
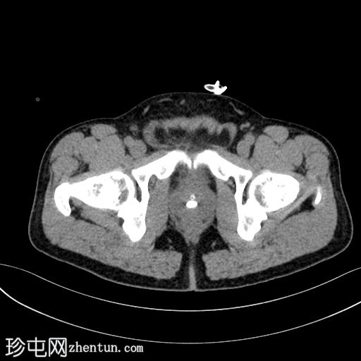
轴位

平扫
3.jpg
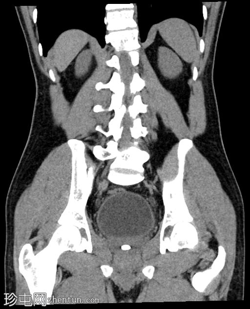
冠状位

平扫

留置导尿管

前列腺尿道内可见一枚较大的结石,大小约为10.5 x 13.5 x 7.5 mm(前后径 x 横径 x 头尾径)

轻度肾盂输尿管积水,左侧更为明显

膀胱壁轻度增厚约4 mm,膀胱周围脂肪间隙模糊,提示合并膀胱炎

病例讨论

尿道结石并不常见,约占所有泌尿系统结石的1%,主要发生于男性,这主要是由于男性尿道较长,结石更容易从上尿路或膀胱移位至尿道。

大多数尿道结石是游走性的,起源于肾脏或膀胱,而少数结石则原位形成,与尿道狭窄、憩室、慢性感染或尿潴留有关。

前列腺尿道是结石嵌顿的潜在部位,据报道,前列腺尿道结石在40岁左右的年轻男性中更为常见。在计算机断层扫描(CT)图像上,前列腺尿道结石表现为前列腺尿道腔内边界清晰的高密度影,而由浓稠分泌物引起的实质钙化通常位于中央带和外周带交界处附近或散布于外周带。

CT对检测结石具有很高的敏感性,还可以显示相关的影像学表现,例如尿道扩张、膀胱出口梗阻或尿道周围炎症改变。
您需要登录后才可以回帖 登录 | 注册
Copyright © 2011-2026 东莞市珍屯医疗科技有限公司Powered by zhentun.com
返回顶部