找回密码
 注册

PI-RADS 4 病变

作者:大江 | 时间:2026-3-11 12:24:22 | 阅读:30| 显示全部楼层
临床表现

患者主诉尿频、排尿不尽,过去一年PSA值逐渐升高至7.279 ng/ml。

患者资料

年龄:65岁

性别:男

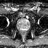
MRI
轴位
T2加权像
1.jpg
矢状位
T2加权像
2.jpg
冠状位
T2加权像
3.jpg
轴位
DWI
4.jpg
轴位
ADC
轴位
5.jpeg
T1加权像

轴位
6.jpg
T1加权像
T1加权像DCE
7.jpg
前列腺增大,大小为52 x 56 x 57 mm(体积87 ml)。

PSA 7.279 ng/ml,PSA密度0.084 ng/ml/cc。

在前列腺中部/尖部,右侧外周带/周围膜交界处可见一大小为7 x 5 mm的毛刺状、边界不清的T2低信号病灶,伴有扩散受限和早期动脉期强化,提示为PI-RADS 4级病灶。

边界清晰的T2高信号结节,典型良性增生,在移行区(TZ)最大直径达18 mm,符合PI-RADS 1级。

左侧精囊皱襞基底部类似良性左侧前区a(PZa)结节。

基底部向膀胱内突出。

病例讨论

一例PI-RADS 4级病变,已安排活检。
您需要登录后才可以回帖 登录 | 注册
Copyright © 2011-2026 东莞市珍屯医疗科技有限公司Powered by zhentun.com
返回顶部