找回密码
 注册

充气式阴茎假体

作者:大江 | 时间:2026-3-11 12:27:00 | 阅读:46| 显示全部楼层
病例介绍

患者于三个月前接受了可充气式阴茎假体植入术,术后出现持续性阴茎勃起伴疼痛

患者资料

年龄:55岁

性别:男

MRI
冠状位
T2加权像
1.jpg
冠状位
STIR序列
2.jpg
冠状位
T1加权像
3.jpg
矢状位
T2加权像
4.jpg
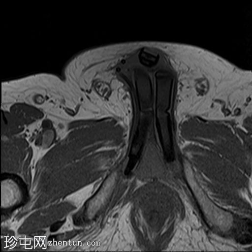
轴位
T2加权像
5.jpg
轴位
T2加权像
6.jpg
轴位
STIR序列
7.jpg
轴位
T1加权像
8.jpg
轴位
DWI序列
9.jpg
轴位
ADC值
10.jpg
MRI显示可充气式阴茎假体位于体内。

假体柱体对称地位于阴茎海绵体内,并沿其走行方向完全扩张。

未见海绵体破裂或假体柱体断裂的迹象。

泵储液囊位于阴囊内,位置正常。

阴囊壁皮下可见轻度水肿,但无明显积液,可能为反应性水肿。

储液囊位于右侧腹股沟管前方的皮下脂肪内,对右侧腹直肌施加轻微的向上压迫,周围有少量积液。这些发现最符合术后改变。

病例讨论

阴茎假体植入术是治疗严重勃起功能障碍(ED)的成熟方法。术后并发症可能包括感染、机械故障、侵蚀或装置相关不适。影像学检查在评估假体组件的完整性和位置方面发挥着重要作用。

在本病例中,MRI显示假体圆柱体位置正常,无破裂或不连续的迹象。储液囊和泵的位置也正确。周围轻微的水肿和积液可能是术后改变。因此,患者的症状可能与机械刺激或装置相关的机械因素有关,而不是假体的结构性故障。
您需要登录后才可以回帖 登录 | 注册
Copyright © 2011-2026 东莞市珍屯医疗科技有限公司Powered by zhentun.com
返回顶部