找回密码
 注册

结节性硬化症

作者:大江 | 时间:2026-3-11 12:34:22 | 阅读:45| 显示全部楼层
主诉

右上腹疼痛

患者资料

年龄:50岁

性别:女

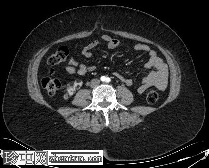
CT
轴位

平扫
1.png
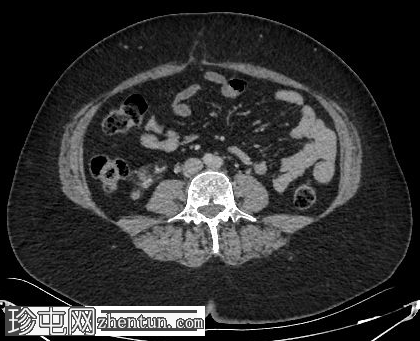
轴位增强扫描

动脉期
2.png
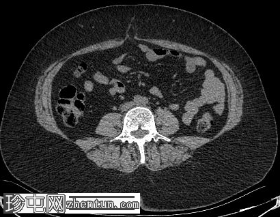
轴位增强扫描

门静脉期
3.png
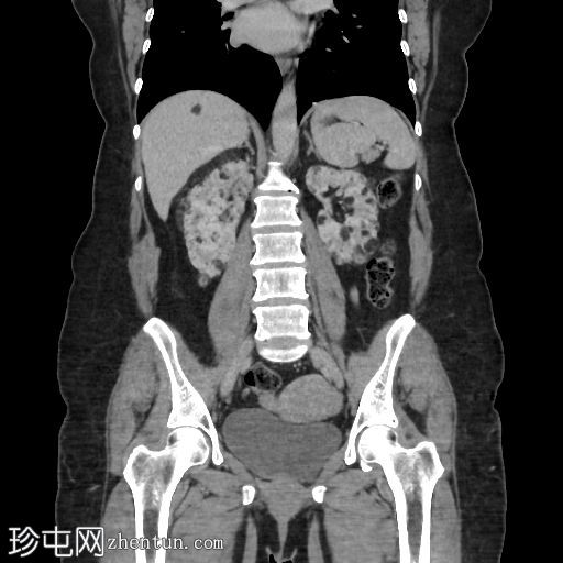
冠状位增强扫描

门静脉期
4.jpg
矢状位增强扫描

门静脉期
5.jpg
肝脏内可见多发边界清晰的脂肪结节状病变,最大病变位于肝脏VII段,直径15 mm

双肾可见多发脂肪肿块,右肾最大病变直径达45 mm,左肾最大病变直径20 mm

心肌脂肪组织

椎体可见小的硬化性骨病变

胆囊腔内可见多发结石,诊断为胆石症

可见小的脐疝,内含腹膜前脂肪

病例讨论

肾血管平滑肌脂肪瘤是结节性硬化症最常见的腹部表现,通常为多发性、双侧性,且体积大于散发性病变。血管平滑肌脂肪瘤。肝脏血管平滑肌脂肪瘤虽然不常见,但却是公认的肾外表现,其影像学特征与肾脏血管平滑肌脂肪瘤相似,包括CT扫描可见肉眼可见的脂肪,这使得诊断成为可能,且无需侵入性检查。

肾脏和肝脏中富含脂肪的血管平滑肌脂肪瘤可能仅有轻微或无明显的对比增强,仅表现为衰减值的轻微升高,反映血管和间质成分的增强。这些病灶内肉眼可见的脂肪具有高度特异性,有助于将血管平滑肌脂肪瘤与其他肾脏和肝脏肿瘤区分开来。

此外,多发性小骨硬化性病变是结节性硬化症的常见骨骼表现,在适当的临床背景下,不应误诊为成骨性转移。

识别包括多发性含脂肪肾血管和肝血管平滑肌脂肪瘤以及多灶性骨硬化病变在内的影像学表现至关重要,因为这有助于确诊结节性硬化症,并避免不必要的活检或其他侵入性检查。

有关结节性硬化症的一般特征和全身表现,请参阅结节性硬化症主条目。
您需要登录后才可以回帖 登录 | 注册
Copyright © 2011-2026 东莞市珍屯医疗科技有限公司Powered by zhentun.com
返回顶部