找回密码
 注册

肾母细胞瘤伴下腔静脉肿瘤血栓形成

作者:大江 | 时间:3 天前 | 阅读:11| 显示全部楼层
影像表现

未提供。

患者资料
年龄:7岁

性别:男

CT
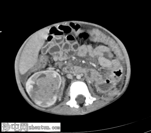
轴位增强扫描(门静脉期)
1.png
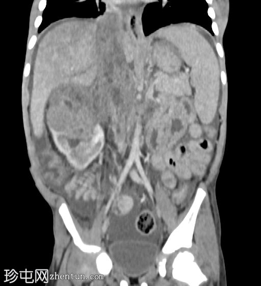
冠状位增强扫描(门静脉期)
2.jpg
右肾极间区可见一巨大异质性肿块,伴坏死区域。

病灶延伸至扩张的右肾静脉、右下腔静脉和右心房。

轻至中度腹水。

可见亚厘米级腹主动脉旁淋巴结。

右侧少量胸腔积液,右下叶可见一小块强化胸膜下结节。

影像学特征提示右肾母细胞瘤(Wilms瘤),伴肿瘤血栓形成至下腔静脉和右心房。

病例讨论

Wilms瘤或肾母细胞瘤是一种儿童恶性肿瘤,通常发生于幼儿期,发病高峰年龄为3至4岁。

患者通常表现为上腹部无痛性肿块,有时伴有血尿。疼痛并不常见。这些肿瘤通常边界清晰,呈大分叶状,且可能大部分为囊性。中心坏死是常见的影像学表现。门静脉期CT扫描足以对肾母细胞瘤进行定性。转移最常发生于肺、肝和局部淋巴结。与肾细胞癌类似,肿瘤血栓进入肾静脉、下腔静脉和右心房也是晚期疾病的特征。

肾母细胞瘤的分期主要基于解剖学,并与肿瘤的侵袭和扩散部位相关。本病例属于III期。

需要考虑的鉴别诊断包括:

神经母细胞瘤常含有钙化灶,边界不清,可侵犯骨骼;相比之下,肾母细胞瘤很少钙化,边界清晰,且不侵犯骨骼。

肾脏横纹肌样瘤可通过是否存在肾包膜下积液与肾母细胞瘤相鉴别。
您需要登录后才可以回帖 登录 | 注册
Copyright © 2011-2026 东莞市珍屯医疗科技有限公司Powered by zhentun.com
返回顶部