首页
Portal
订阅
产品资料
医疗器械
外科训练
医学论坛
BBS
关于我们
联系我们
登录
立即登录
立即注册
其他登录
QQ
微信
搜索
搜索
本版
文章
帖子
用户
本版
文章
帖子
用户
首页
Portal
订阅
产品资料
医疗器械
外科训练
医学论坛
BBS
关于我们
联系我们
账号
自动登录
找回密码
密码
登录
注册
外科
内科
第三
第四
中医
辅助
执业
教育
专区
好友
帖子
收藏
淘帖
分享
记录
留言板
门户
导读
排行榜
设置
我的收藏
退出
珍屯医学
»
医学论坛
›
外科
›
泌尿外科
›
交叉融合性肾异位
返回列表
交叉融合性肾异位
[复制链接]
作者:
大江
|
时间:
3 天前
|
阅读:14
|
显示全部楼层
病例介绍
偶然发现。
患者资料
年龄:70岁
性别:男
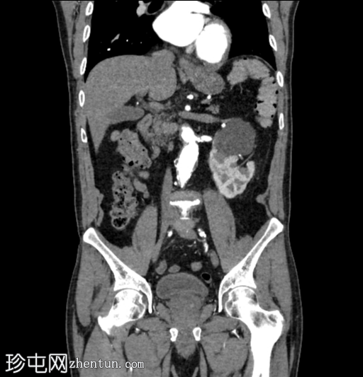
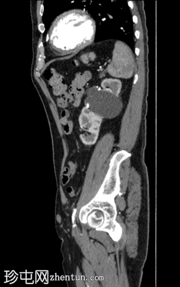
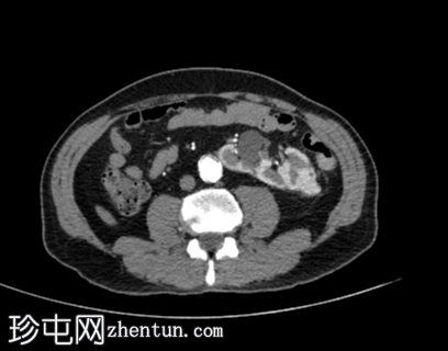
CT
轴位增强扫描
动脉期
冠状位增强扫描
动脉期
矢状位增强扫描
动脉期
右向左交叉融合性肾异位(轴位、冠状位和矢状位图像),右侧异位肾上极与左侧肾下极融合。
肾皮质囊肿。
主动脉-髂动脉粥样硬化晚期改变。
病例讨论
本病例展示了交叉融合性肾异位,其发生率高于非融合型肾异位。
评估相关并发症(例如肾结石)至关重要。
回复
举报
返回列表
发表新帖
高级模式
B
Color
Image
Link
Quote
Code
Smilies
您需要登录后才可以回帖
登录
|
注册
大江
关注Ta
主题 17673
帖子 16759
积分 42317
此人很懒,什么也没留下。
•
轻松订阅最新动态(简易法)
•
珍屯网“股份”积分策略
•
会员注册规则说明——试行
•
您看好“外资独资办医”吗?欢迎大家投票和讨论
•
为各位医友推荐些好书!可代购
•
无排卵
•
《简明体格检查图解》┊陈清兰,郑智远编著.PDF
•
全国实践技能考试准考证打印一览表
阅读作者更多精彩帖子
热门问答
更多>
0
腹腔镜侧面定点缝合训练
99人围观, 发布于2026-02-18
0
外科定点缝合训练指南
83人围观, 发布于2026-02-20
0
血管吻合训练指南
77人围观, 发布于2026-02-21
0
腹腔镜缝合训练方法
74人围观, 发布于2026-02-23