找回密码
 注册

环主动脉左肾静脉伴双侧重复肾盂输尿管系统

作者:大江 | 时间:3 天前 | 阅读:13| 显示全部楼层
介绍

肾脏捐献者。

患者资料

年龄:30岁

性别:男

肾血管造影

CT
前后位-侧位
定位像
1.png
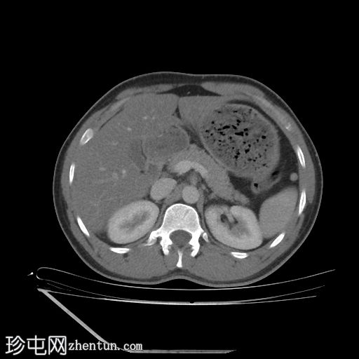
轴位
非增强
2.jpg
轴位增强扫描

动脉期
3.jpg
轴位增强扫描

门静脉期
4.jpg
轴位增强扫描

延迟期
5.jpg
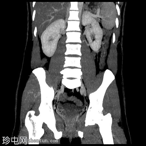
冠状位

血管窗
6.jpg
冠状位

最大强度投影 (MIP)
7.jpg
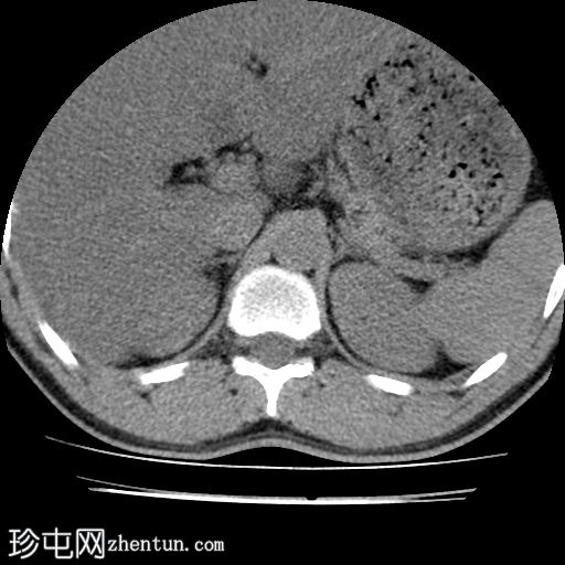
轴位肾脏
8.jpg

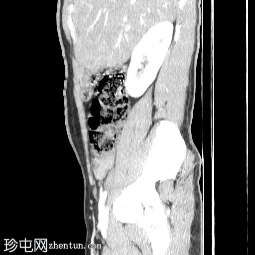
矢状位
9.jpg
最大强度投影 (MIP)

三维容积
10.jpg
渲染
三维容积
11.jpg
渲染
三维容积
12.jpg
渲染
冠状位增强扫描
13.jpg
门静脉期

矢状位增强扫描
14.jpg
门静脉期

容积渲染
15.jpg
透明度
三维容积
16.jpg
渲染
冠状位
最大强度投影 (MIP)
17.jpg
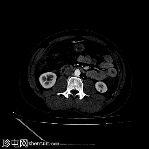
CT肾血管造影显示一条起源于左肾下段的副肾静脉,该静脉环绕主动脉走行,并接受来自腰静脉的属支,走行于主动脉后方,最终汇入下腔静脉。

双侧肾脏集合系统重复,分为上极和下极两部分。右侧输尿管在中段汇合,而左侧输尿管在进入膀胱前仍部分分离,符合双侧部分输尿管重复畸形(双分输尿管)。

左肾下极可见一大小约7毫米的皮质性囊肿。

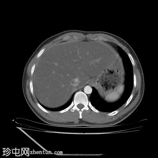
胃脾区可见一小型副脾。

4个病例相关问题

病例讨论

本病例展示了一条环绕主动脉的副左肾静脉,其走行于主动脉后方并汇入下腔静脉,而右肾静脉解剖结构正常。

双侧肾动脉解剖结构正常,双侧肾动脉均起源于L2椎体水平的腹主动脉,管径正常,无狭窄、动脉瘤、夹层或副动脉。

双侧重复肾盂输尿管系统,上下极部分明显。右侧重复的输尿管在中段汇合,而左侧输尿管在进入膀胱前仍部分分离,符合双侧部分输尿管重复畸形(双分输尿管)。双肾大小、位置、轮廓和实质厚度均正常,造影剂浓度和排泄功能正常。未见肾结石、肾积水或局灶性肾脏病变。

左肾下极可见约7 mm的Bosniak I型单纯性皮质肾囊肿。

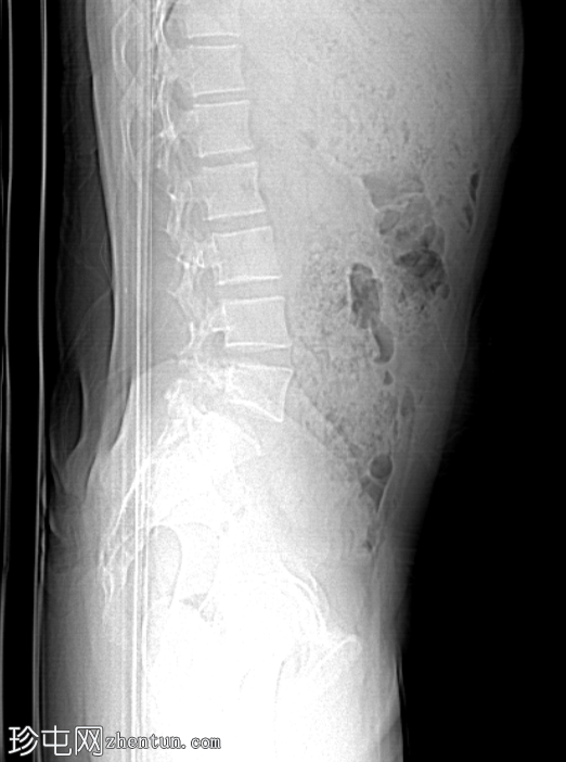
其他偶然发现包括II级肝脂肪变性、胃脾区可见一小副脾、双侧L5椎弓崩裂伴L5相对于S1的I级滑脱。
您需要登录后才可以回帖 登录 | 注册
Copyright © 2011-2026 东莞市珍屯医疗科技有限公司Powered by zhentun.com
返回顶部