找回密码
 注册

Wunderlich综合征

作者:大江 | 时间:3 天前 | 阅读:15| 显示全部楼层
病情介绍

既往有肾功能衰竭和透析史。目前主诉左侧腰痛。

患者资料

年龄:60岁

性别:男

MRI

冠状位

T2加权像
1.png
轴位

STIR序列
2.png
轴位

T2加权像
3.png
轴位
DWI序列
4.jpeg
轴位T1加权像

脂肪抑制序列
5.jpeg
冠状位T1加权像

脂肪抑制序列
6.jpeg
双侧肾囊性疾病,可见多个肾囊肿,其中许多呈复杂性(出血性)囊肿,T1加权像呈高信号,T2加权像呈低信号。

左侧可见一较大的肾周血肿,与上极出血性囊肿相连,提示出血性囊肿破裂(Wunderlich综合征)。

未见肾脏软组织肿块。

轻度肝脾肿大,受检骨骼T2加权像呈弥漫性低信号,提示肾性骨营养不良。

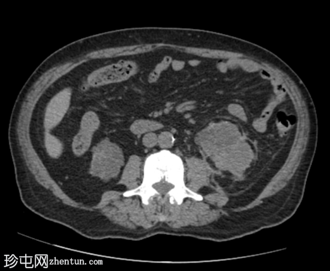
CT扫描

轴位

平扫
7.png
矢状位

骨窗
8.jpg
再次显示双侧肾囊性疾病,可见多个复杂(出血性)囊肿,以及与左肾上极复杂出血性囊肿相连的左肾周血肿。左肾周脂肪间隙模糊。

双侧多发性小肾结石。

弥漫性骨硬化,提示肾性骨营养不良。

病例讨论

Wunderlich综合征是一种罕见疾病,其特征为自发性非创伤性肾出血,出血部位位于肾包膜下和肾周间隙。

病因可能是继发于肿瘤性病变(例如血管平滑肌脂肪瘤或肾细胞癌),也可能是非肿瘤性病变,例如囊性肾病。本例患者为终末期肾病(ESRD)患者,正在接受透析治疗,表现为获得性囊性肾病。

影像学特征包括肾周间隙出血,通常可见肾脏内的原发病灶,例如血管平滑肌脂肪瘤、肾细胞癌或出血性囊肿(如本例所示)。

遗憾的是,该患者失访。
您需要登录后才可以回帖 登录 | 注册
Copyright © 2011-2026 东莞市珍屯医疗科技有限公司Powered by zhentun.com
返回顶部