找回密码
 注册

背侧胰腺发育不全和多发性先天性异常

作者:大江 | 时间:3 天前 | 阅读:13| 显示全部楼层
就诊情况

既往有肾功能衰竭病史,拟行泌尿系统CT检查。

患者资料

年龄:13岁

性别:女

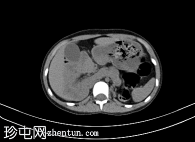
CT
轴位

平扫
1.png
冠状位

平扫
2.jpg
矢状位

平扫
3.jpg
三维
VR
4.png
胰体和胰尾未显影,仅胰头显影,可能为背侧胰腺发育不全所致。

肠袢聚集于右侧肋下区,提示肠旋转不良。

左肾体积较小,肾实质相对扭曲,呈分叶状,可见少量肾实质囊肿。左肾上盏轻度突出。

右肾发育不全。

CT未见子宫/子宫发育不良;建议行MRI检查以作更佳评估。

左髂窝可见边界清晰的低密度影,右侧疑似存在类似结构,可能为异位卵巢。建议行MRI检查以进一步评估。

疑似肾下段下腔静脉(IVC)缺如。

轻度耻骨联合分离。

病例讨论

本病例表现为背侧胰腺发育不全,并伴有多发性先天性畸形。背侧胰腺发育不全患者中,肠旋转不良的发生率可高达50%。

子宫缺如或发育不良,以及疑似异位卵巢,提示可能为Mayer-Rokitansky-Küster-Hauser综合征;建议进一步行MRI检查以进一步评估。遗憾的是,患者未接受MRI检查。

文献回顾显示,其他病例中尚未报道过如此多种畸形的组合,因此难以将此复杂病例归类于任何已知的综合征。
您需要登录后才可以回帖 登录 | 注册
Copyright © 2011-2026 东莞市珍屯医疗科技有限公司Powered by zhentun.com
返回顶部