找回密码
 注册

肉芽肿性前列腺炎

作者:大江 | 时间:3 天前 | 阅读:10| 显示全部楼层
临床表现

直肠指检异常(前列腺底部双侧硬结)。PSA 5.5 ng/mL。

患者资料

年龄:50岁

性别:男

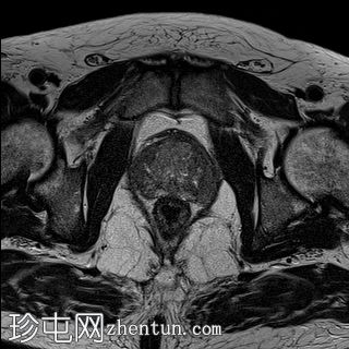
MRI
1.jpg
轴位
T2加权像
2.jpg
矢状位
T2加权像
3.jpg
冠状位
T2加权像
4.jpg
轴位
DWI
5.jpg
轴位
ADC
6.jpg
轴位T1加权像

脂肪抑制像
7.jpg
轴位T1加权像

增强脂肪抑制像
8.jpg
轴位T1加权像
增强脂肪抑制像
9.jpg
轴位
T1加权像
10.jpg
轴位T2加权像

技术:多参数前列腺MRI,包括多平面T2加权成像、DWI(含ADC图)以及静脉注射钆对比剂后的动态增强(DCE)成像。前列腺体积:37 mL。

外周带 (PZ):

T2WI:双侧外周带弥漫性、不均匀低T2信号,范围>15 mm,尖端后内侧可见小片相对保留的病灶。左侧尖端及腺体中部可见包膜隆起。评分5/5。

DWI/ADC:高b值DWI呈弥漫性高信号,ADC呈相应低信号(扩散受限)。评分5/5。

DCE:早期强化阳性。

PI-RADS:5 - 极高风险(极有可能存在临床意义的癌症),考虑炎症性病变。

移行带 (TZ) / 前部纤维肌性间质:未见可疑局灶性病变。

组织病理

经直肠前列腺六分区活检,分别标记为A4、A6、B1和B4:明显的慢性非干酪性肉芽肿性前列腺炎,未见肿瘤

经直肠前列腺六分区活检,分别标记为 A1、A2、A3、A5、B2、B3、B5 和 B6:中度慢性淋巴浆细胞性前列腺炎,单纯性及囊性前列腺萎缩,未见肿瘤。

3 个病例问题

病例讨论

肉芽肿性前列腺炎是多参数磁共振成像 (mpMRI) 中一种重要的、与临床意义显著的前列腺癌相似的疾病,因为它可以产生明显的周围带异常,伴有扩散受限和早期强化,通常导致较高的 PI-RADS 分级。

在本病例中,mpMRI 显示双侧周围带弥漫性 T2 低信号,高 b 值 DWI/ADC 图像上呈扩散受限,早期强化阳性,并伴有包膜轮廓隆起。这种影像学表现可能类似于浸润性或广泛性周围带癌,尤其是在 PSA 升高和直肠指检异常的情况下。然而,炎症性疾病,特别是肉芽肿性前列腺炎,可能出现类似的影像学表现。经直肠前列腺活检的组织病理学检查显示,患者患有严重的慢性非干酪性肉芽肿性前列腺炎,未见肿瘤证据。

肉芽肿性前列腺炎的病因可能不明,也可能与既往膀胱内卡介苗治疗、感染(包括分枝杆菌感染)或近期活检/器械操作有关。当临床高度怀疑且多参数磁共振成像(mpMRI)结果高度可疑时,通常需要进行活检以排除恶性肿瘤并确诊。
您需要登录后才可以回帖 登录 | 注册
Copyright © 2011-2026 东莞市珍屯医疗科技有限公司Powered by zhentun.com
返回顶部