首页
Portal
订阅
产品资料
医疗器械
外科训练
医学论坛
BBS
关于我们
联系我们
登录
立即登录
立即注册
其他登录
QQ
微信
搜索
搜索
本版
文章
帖子
用户
本版
文章
帖子
用户
首页
Portal
订阅
产品资料
医疗器械
外科训练
医学论坛
BBS
关于我们
联系我们
账号
自动登录
找回密码
密码
登录
注册
外科
内科
第三
第四
中医
辅助
执业
教育
专区
好友
帖子
收藏
淘帖
分享
记录
留言板
门户
导读
排行榜
设置
我的收藏
退出
珍屯医学
»
医学论坛
›
外科
›
泌尿外科
›
膀胱平滑肌瘤
返回列表
膀胱平滑肌瘤
[复制链接]
作者:
大江
|
时间:
3 天前
|
阅读:18
|
显示全部楼层
临床表现
阴道出血6周
患者资料
年龄:50岁
性别:女
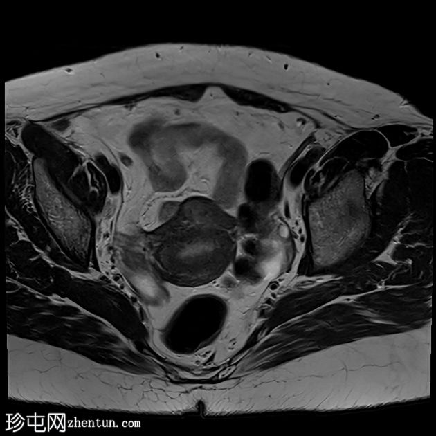
MRI
轴位
DWI
轴位
T2加权像
轴位T1加权像
脂肪抑制像
轴位T1加权像
增强脂肪抑制像
轴位
ADC
矢状位
T2加权像
轴位
T1加权像
轴位
T1加权像
轴位
T1加权像
轴位T2加权像
脂肪抑制像
冠状位T2加权像
脂肪抑制像
可见膀胱左侧壁有一边界清晰的T2低信号实
性病
灶,无扩散受限,均匀强化。未见膀胱周围侵犯或肾积水。
子宫底部前壁可见一小肌瘤。双侧卵巢可见无强化囊肿。盆腔及腹股沟未见异常淋巴结肿大。
病例讨论
这是一例经组织学证实的膀胱平滑肌瘤病例。
回复
举报
返回列表
发表新帖
高级模式
B
Color
Image
Link
Quote
Code
Smilies
您需要登录后才可以回帖
登录
|
注册
大江
关注Ta
主题 17672
帖子 16758
积分 42315
此人很懒,什么也没留下。
•
轻松订阅最新动态(简易法)
•
珍屯网“股份”积分策略
•
会员注册规则说明——试行
•
您看好“外资独资办医”吗?欢迎大家投票和讨论
•
为各位医友推荐些好书!可代购
•
无排卵
•
《简明体格检查图解》┊陈清兰,郑智远编著.PDF
•
全国实践技能考试准考证打印一览表
阅读作者更多精彩帖子
热门问答
更多>
0
腹腔镜侧面定点缝合训练
99人围观, 发布于2026-02-18
0
外科定点缝合训练指南
82人围观, 发布于2026-02-20
0
血管吻合训练指南
76人围观, 发布于2026-02-21
0
腹腔镜缝合训练方法
73人围观, 发布于2026-02-23