找回密码
 注册

Erdheim-Chester病

作者:大江 | 时间:3 天前 | 阅读:13| 显示全部楼层
临床表现

患者主诉上腹部疼痛1天。炎症指标升高。体格检查发现右侧腹部压痛,右髂窝有肌紧张,考虑阑尾炎。

患者资料

年龄:50岁

性别:男

CT
1.jpg
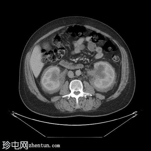
轴位增强扫描(门静脉期)
2.jpg
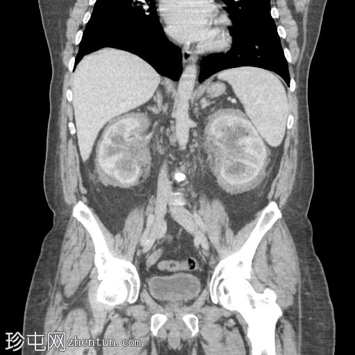
冠状位增强扫描(门静脉期)
3.jpg
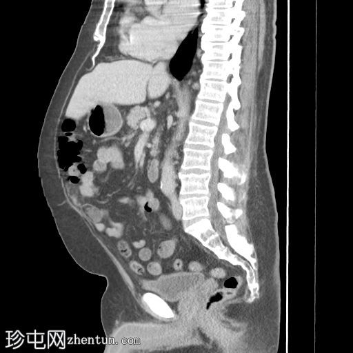
矢状位增强扫描(门静脉期)

肾周可见重度、相对均匀的浸润,呈“毛肾征”。肾积水,但无输尿管积水。

肝、脾、胰腺和肾上腺正常。胆囊正常,无胆管扩张。

小肠和大肠(包括阑尾)未进行肠道准备,均正常。

未见其他异常。

组织病理学报告

左肾下极周围活检:

纤维血管和脂肪组织核心,其中一个核心边缘可见少量炎症性肾皮质组织。

广泛的纤维化和局灶性脂肪坏死;部分区域背景水肿,伴有中度慢性炎症,包括少量淋巴细胞聚集和浆细胞簇,散在分布着肥大细胞。梭形细胞增生,细胞形态良性,并散在分布着泡沫状组织细胞。未见恶性肿瘤证据。免疫组化染色显示梭形细胞为组织细胞:CD68 和 CD163 阳性,因子 XIIIa 强表达,S100 呈局灶性染色。CD1a 和 Braf 染色基本阴性。

简要基因检测报告:M117.1,BRAF c.1799T>A p.(Val600Glu) V600E 致病热点变异,手动检测到,变异水平极低(3.5% VAF)。

结果符合 Erdheim-Chester 病。

病例讨论

本病例的肾脏表现具有独特性,几乎是 Erdheim-Chester 病的特征性表现。然而,如果某些疾病的症状不太明显,则需要注意与之相似的疾病,例如淋巴瘤。
您需要登录后才可以回帖 登录 | 注册
Copyright © 2011-2026 东莞市珍屯医疗科技有限公司Powered by zhentun.com
返回顶部