找回密码
 注册

女性尿道结石

作者:大江 | 时间:3 天前 | 阅读:18| 显示全部楼层
主诉

过去一周排尿困难。

患者资料

年龄:45岁

性别:女

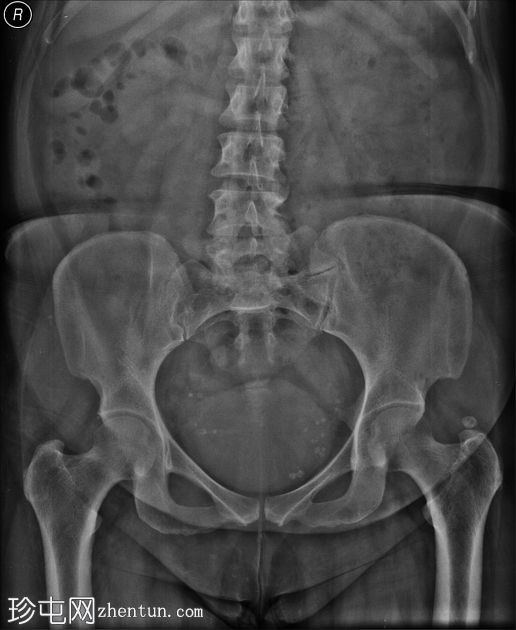
X线片
1.jpeg
正位片
2.jpeg
正位片

放大片

盆腔两侧坐骨棘上方、下方及水平可见多发小片状高密度影。尿道及肾区未见明显高密度影。

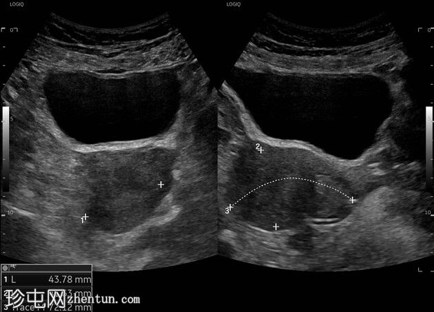
超声
3.jpeg
多切面
4.jpg
纵切面
5.jpg
纵切面
经腹超声显示膀胱充盈(排尿前尿量160毫升),膀胱壁无增厚。未见管腔内结石。未见膀胱输尿管连接处结石或水肿。左肾结石(7毫米),无肾积水。右肾下盏饱满,无盆腔饱满。双侧输尿管均未见扩张。排尿后尿量为125毫升。

经会阴超声显示尿道外口附近尿道内有一强回声灶(9 mm),伴有明显的后方声影。局部血流丰富。未见尿道扩张/尿道周围肿块病变。

由于女性尿道较短,尿道嵌顿结石较为罕见。

病例讨论

该患者因排尿困难就诊,临床怀疑为尿道嵌顿结石,既往有排尿困难病史。患者无腰腹疼痛或血尿病史。经腹部超声检查唯一阳性发现是排尿后尿量明显增多。经会阴超声检查证实了尿道嵌顿结石的临床诊断,随后由外科医生取出结石。
您需要登录后才可以回帖 登录 | 注册
Copyright © 2011-2026 东莞市珍屯医疗科技有限公司Powered by zhentun.com
返回顶部