找回密码
 注册

局灶性黄色肉芽肿性肾盂肾炎

作者:大江 | 时间:3 天前 | 阅读:22| 显示全部楼层
临床表现

肾功能受损,目前存在脓尿和血尿。既往有反复尿路感染史。

患者资料

年龄:35岁

性别:男

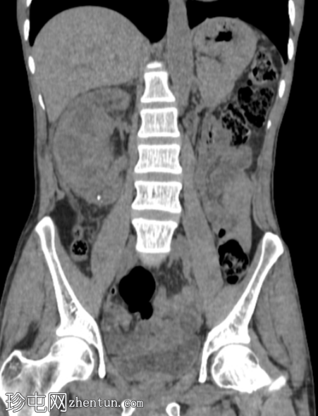
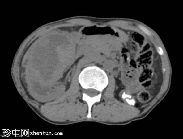
CT
轴位

平扫
1.png
冠状位

平扫
2.png
矢状位

平扫
3.png
右肾前部可见一边界清晰的外生性病变,呈异质性,包含实性及囊性成分,内部可见多发结石。肾周可见模糊影。

左肾体积缩小且萎缩,可见多发结石。

病变内部存在结石及肾周模糊影提示炎症性病变,可能为局灶性黄色肉芽肿性肾盂肾炎(XGP),而非肿瘤性肿块(肾细胞癌)。

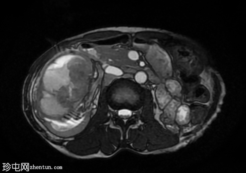
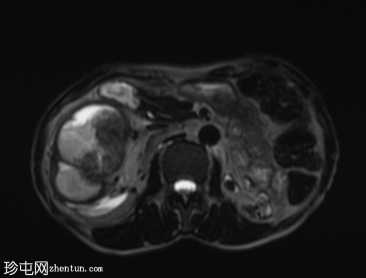
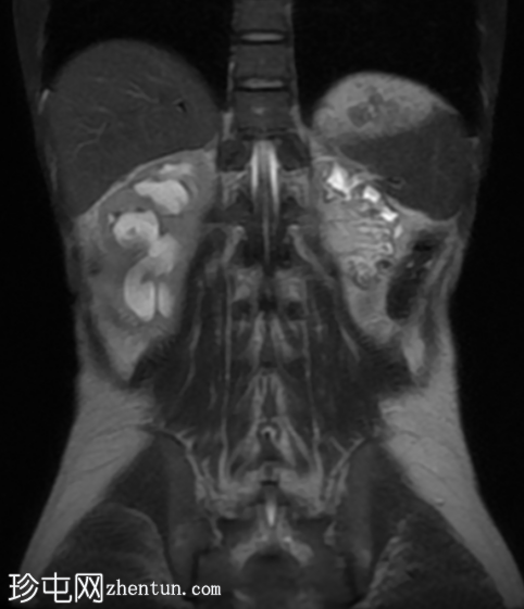
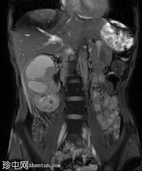
MRI
4.png
冠状位

T2加权像
5.png
轴位
STIR序列
6.png
轴位
T2加权像
7.png
轴位T1加权像

脂肪抑制序列
8.png
冠状位T1加权像

脂肪抑制序列
9.png
轴位
T2加权像
10.png
冠状位T2加权像

脂肪抑制序列
11.png
轴位
T2加权像
12.png
轴位
DWI序列
13.png
轴位
ADC值

再次观察到上述肾前部外生性病变,其实性成分在T1加权像上呈等高信号,在T2加权像上呈低信号,伴有碎片扩散受限和低ADC值(化脓性物质)。囊性成分内部可见液-碎片/脓液界面。可见内部低信号结石。可见肾周模糊影。该病变压迫并可能侵犯右肾盂,导致中度肾积水。

病灶不规则的低信号,以及液-液界面伴有碎屑(可能为化脓性物质)扩散受限和肾周模糊,再次高度提示炎症性病变(黄色肉芽肿性肾盂肾炎,XGP),而非可能性较小的肿瘤。

左肾萎缩,体积较小,内含多发低信号结石。

患者接受了手术治疗,切除病灶并行右肾部分切除术。

显微镜检查显示黄色肉芽肿性炎症反应,伴有囊性和出血性成分。

培养结果显示金黄色葡萄球菌和奇异变形杆菌。

病例讨论

局灶性黄色肉芽肿性肾盂肾炎(XGP)在临床和影像学上均可与肾细胞癌高度相似,因此被称为“伟大的模仿者”。

本病例中,影像学线索提示黄色肉芽肿性肾盂肾炎(XGP)而非肾细胞肿瘤,包括尿液分析显示脓尿、反复尿路感染史、影像学检查发现病灶内有多发性结石、液-液平面以及肾周脂肪间隙模糊。

许多黄色肉芽肿性肾盂肾炎病例仅在行部分或根治性肾切除术后才得以确诊。
您需要登录后才可以回帖 登录 | 注册
Copyright © 2011-2026 东莞市珍屯医疗科技有限公司Powered by zhentun.com
返回顶部