找回密码
 注册

双侧卵巢子宫内膜异位囊肿

作者:大江 | 时间:前天 16:58 | 阅读:18| 显示全部楼层
临床表现

慢性腹痛。

患者资料

年龄:20岁

性别:女

MRI
冠状位
T2加权像
1.jpg
冠状位
T2加权像
2.jpg
矢状位
T2加权像
3.jpg
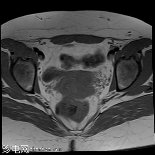
轴位
T2加权像
4.jpg
轴位
T2加权像
5.jpg
T2血流像
轴位
T1加权像
6.jpg
轴位
T1加权像
7.jpg
轴位
T1加权像
8.jpg
轴位
T1加权像
9.jpg
脂肪抑制像
轴位
10.jpg
DWI
轴位
11.jpg
ADC
轴位
12.jpg
T1加权像
C+脂肪抑制像
13.jpg
冠状位
T1加权像
C+脂肪抑制像
矢状位
T1加权像
C+脂肪抑制像

双侧卵巢位置接近(卵巢相吻),左侧卵巢内可见一边界清晰的囊性病变,大小约3.1 × 2.7 × 2.9 cm,T1加权像呈高信号,T2加权像可见暗点征及内部暗点征。以上MRI特征符合卵巢子宫内膜异位囊肿的诊断。

右侧卵巢可见一囊肿,大小约为 2.8 × 2.0 × 2.2 cm,T1 加权像呈高信号,囊内可见液-液平面,提示囊内含有不同时期的出血性物质。由于对侧卵巢存在典型的子宫内膜异位囊肿,且该囊肿无强化,影像学表现强烈提示为另一子宫内膜异位囊肿。

双侧卵巢均可见多个小卵泡。

子宫大小、轮廓及信号强度均正常,子宫内膜分区结构完整。未见局灶性肌层病变,子宫内膜厚度在正常范围内。

左侧盆腔可见少量游离液体。

病例讨论

双侧卵巢囊性病变,MRI 表现符合子宫内膜异位囊肿的特征,左侧较大。未见强化壁结节或实性成分,提示无恶性转化。

月经周期结束后,大约 6-8 周内,可以考虑进行短期随访超声或 MRI 检查,以记录病灶的持续存在情况,这将进一步支持子宫内膜异位囊肿的诊断,而不是出血性囊肿。
您需要登录后才可以回帖 登录 | 注册
Copyright © 2011-2026 东莞市珍屯医疗科技有限公司Powered by zhentun.com
返回顶部