找回密码
 注册

子宫平滑肌肉瘤

作者:大江 | 时间:前天 17:05 | 阅读:15| 显示全部楼层
临床表现

全腹疼痛,伴恶心呕吐。

患者资料

年龄:60岁

性别:女

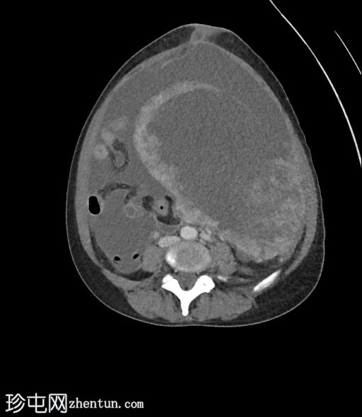
入院时CT检查

CT
1.jpg
腹部中部可见一巨大、不均匀、中心坏死的肿块。

中至大量腹水。

子宫肌瘤。

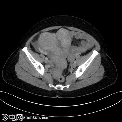
6个月前CT检查

CT
2.jpg
既往CT显示子宫内有多发性肌瘤,但在子宫右侧一个较大的肌瘤内可见一处不典型、中心低密度区。

无腹水。

6个月前MRI检查

MRI
轴位

T2加权像
3.jpg
矢状位T1加权像
增强脂肪抑制像
4.jpg
与既往CT同时进行的MRI检查显示子宫内有多发性T2低信号强度肌瘤,但在子宫右侧一个肌瘤内可见一处不均匀、中心高T2/囊性信号区。

增强扫描图像显示,与其他肌瘤相比,该病灶呈异质性强化,强化区域混杂,中心大片区域无强化(与T2加权像上的囊性区域相对应)。

病例讨论

在原有肌瘤内快速生长出一个体积较大、异质性且伴有囊性/坏死区域的病灶,高度怀疑为子宫平滑肌肉瘤。

遗憾的是,患者病情严重,无法进行进一步检查,因此无法通过病理学确诊。
您需要登录后才可以回帖 登录 | 注册
Copyright © 2011-2026 东莞市珍屯医疗科技有限公司Powered by zhentun.com
返回顶部