找回密码
 注册

Beger手术后胰肠吻合口腺癌

作者:大江 | 时间:昨天 15:59 | 阅读:5| 显示全部楼层
病例介绍

既往因慢性胰腺炎引起的顽固性疼痛行Beger手术。

患者资料

年龄:45岁

性别:女

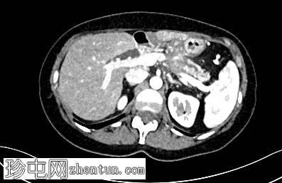
CT
轴位增强扫描

动脉期
1.png
冠状位增强扫描

动脉期
2.jpg
术后改变符合慢性胰腺炎Beger手术的影像学表现。胰头显影良好,结构完整;胰尾可见主胰管扩张,系远端胰肠吻合口处浸润性肿块所致。该肿块浸润脾动脉和脾静脉,并伴有血管周围侵犯,以及胰周脂肪浸润。此外,肠系膜可见线状软组织密度影,提示腹膜播散。

左肝叶偶见海狸尾状解剖变异。

病例讨论

对于有症状的慢性胰腺炎且以胰头病变为主、无恶性肿瘤证据的患者,1980 年 Beger 描述的保留十二指肠的胰头切除术 (DPPHR) 比 Whipple 手术创伤更小(疼痛和血糖控制更佳),是无恶性肿瘤患者的一种治疗选择。

DPPHR 包括胰头横断,然后进行胰头次全切除,同时保留十二指肠动脉供血的血管弓。手术结束时,将远端胰腺残端与胰肠吻合形成 Roux-en-Y 式胰肠吻合术。

本病例为经证实的胰腺腺癌,远端切缘发生恶性转化。
您需要登录后才可以回帖 登录 | 注册
Copyright © 2011-2026 东莞市珍屯医疗科技有限公司Powered by zhentun.com
返回顶部