找回密码
 注册

梅克尔憩室 - 梗阻

作者:大江 | 时间:昨天 16:07 | 阅读:3| 显示全部楼层
临床表现

急性腹痛和呕吐。

患者资料

年龄:40岁

性别:女

CT
1.jpg
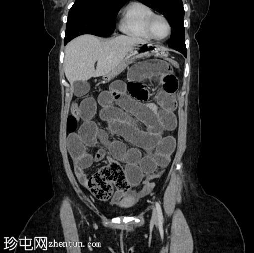
冠状位增强扫描(门静脉期)
2.jpg
轴位增强扫描(门静脉期)
3.jpg
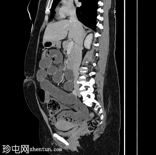
矢状位增强扫描(门静脉期)

小肠袢扩张,远端回肠袢可见粪便样改变,提示移行点就在附近。移行点远端可见回​​肠塌陷。

在移行点近端,肠系膜对侧缘可见一盲端管状结构,符合梅克尔憩室的特征。

少量游离液体。

照片
4.png
切除的小肠标本,内含梅克尔憩室。

病理报告:

标本已用福尔马林固定,并贴有患者姓名和“小肠梗阻”标签。病灶由一段14×4厘米的小肠组成,可见一个7.5×4×3厘米的憩室。

最终诊断:

小肠切除标本符合梅克尔憩室的特征。切缘和切缘均存活。

憩室内发现异位胃组织,伴有幽门螺杆菌感染引起的中度活动性非慢性胃炎。未见异型增生或恶性肿瘤

病例讨论

对于无手术史且憩室移行点靠近回肠末端的患者,仔细评估是否存在梅克尔憩室至关重要,因为该憩室可能表现隐匿。

术中发现憩室周围存在多处粘连,推测是造成梗阻的原因。
您需要登录后才可以回帖 登录 | 注册
Copyright © 2011-2026 东莞市珍屯医疗科技有限公司Powered by zhentun.com
返回顶部